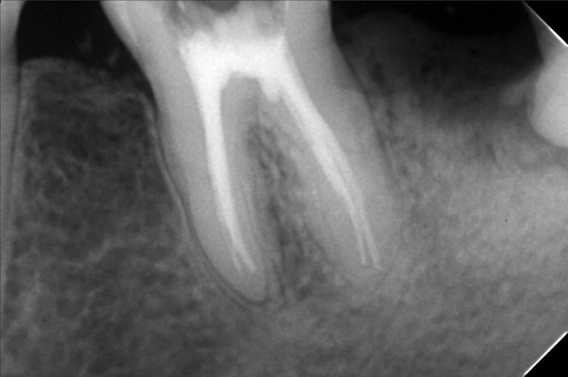
Edit Record Check our patient data records. Add patient information Patient Info Profile picture Last Name First Name Middle Name Birthdate Age Street Barangay City Country Zip Code Contact number Email Procedure 1/14/22- 12,22,36 - Xray LC # 26,27 & OP 1/29/22 - LC #12 - Mesial , lingual, labial LC#11 Surfaces mesial, distal, lingual, labial LC #21 - Mesial 2/19/22- exo 37 *for rct 4 canals 36 2/25/22 DB 21mm DL 22 mm MB 20.5mm ML 20mm formocresol with eugenol 2/05/22- camphenol/ white file *no sensitivity to hot and hold and during auscultation/ TF 2/12/22- no more pain. no more sensitivity/camphenol **next meeting xray. laser/ obturation 3/18/22- laser/ obturation/filling with fiber/ occlusal/ buccal/ lingual/mesial *observe 03/22/22- mbt 0.22/ 14 niti Ul/ class 3/ crowding ceph/ pano/ intraoral/ extra oral photos/ *** to ff up- cast analysis with ortho brush and wax 4/22/22- 14 niti UL RW #31 05/21/22 adj same wire/ req for ceph for exo Pm upper LR 7/2/22- Same wire 14 niti U/L RPI 22 Distal w/ RW Request Tad fot 4th Q 07/28/2022-U 0.016SS; placed ocs bet 11 and 13. L 0.016NITI; changed ligaties only. 08/27/22- SAME WIRE/ rpi 13/22 9/29/22 - RPI #21/#22, U 16ss wire, CHAIN #13-#15, INDIV #12-26; L SAME WIRE INDIV 11/04/22-ADJ/reattached 12/2/22- adj/1 reattached #36 01/13/23-adj 04/17/23- adj 16ss U indi/18 ss L chain 05/13/-23- U - same wire, individual/L - 16 ss, chain/Resto #11D class III 06/16/23- ortho UL same wire, U: individual L: chain RW # 31M 07/15/23- 18 ss U/ Rw 11M/ same wire lower chain lower closing space 08/15/23- closing space/ same wire ***for Lc 14/15/16 09/19/23- same wire/ chain upper/ chain 32-35 chain 11/12/24- ipr 11/21 DISTAL/ CLASS II ELASTIC chipmunk for TADS - 3500 01/27/24- same wire chain upper reattached # 02/28/24 -same wire -reattach #14 03/27/24 16x22 lower chain U RW #42 mesial for removal for the month of june 04/27/24 #14 reattached- no charge same wire chain U/ chain #33-34 05/28/24 16x22 U/L chain 32,34 class II elastic one quadrant II to III chipmunk 06/28/24 removal of brace File 300986490_754411172436439_2707532318128906720_n.jpg File 2 299958020_854700088834251_2016017323265959674_n.jpg File 3 302089664_596777748599375_6189577205987709592_n.jpg File 4 302471710_409703067737285_7864073801397539615_n.jpg File 5 302092198_453164560086776_1373823481126109582_n.jpg File 6 espiritu.jpg File 7 michael_espiritu.jpg File 8 michael_espiritu_1.jpg File 9 File 10 File 11 File 12 File 13 File 14 File 15 File 16 File 17 File 18 File 19 File 20 Retain Record Retain Record Yes No Save Your Changes