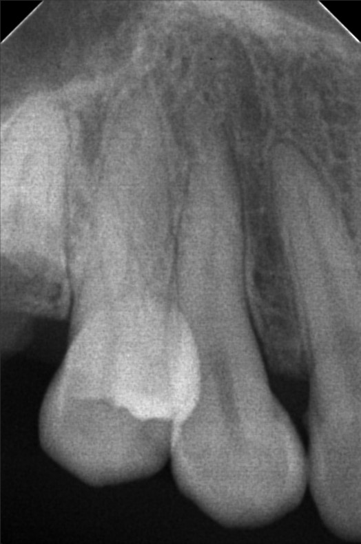
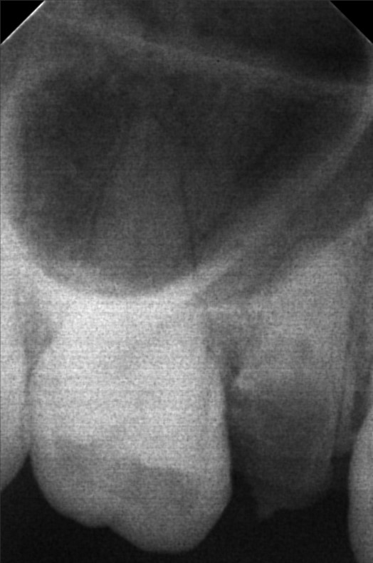
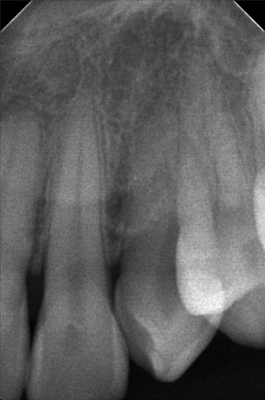
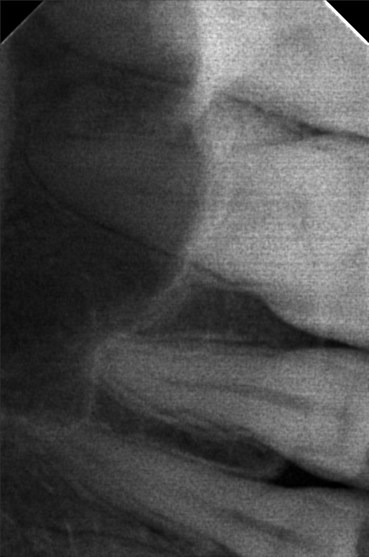
Edit Record Check our patient data records. Add patient information Patient Info Profile picture Last Name First Name Middle Name Birthdate Age Street Barangay City Country Zip Code Contact number Email Procedure 06/30/23- Informed Consent Ortho Check Up OP Impression Soft tissue analysis Intraoral photograph PA Radiograph For exo #15 Informed pt regarding class 5 cases Referred for cephalometric radiograph For resto class 5 #23, #24, #25, #35, #13, #14 10/24/25 oral prophylaxis xray tooth extraction #15 for restoration: abrasion: #23, 24, 25, 26, 14, 33, 35, 36, 44 recession: #13, 12, 11, 21, 22, 34, 32, 43 File atecotech2i712f_f.jpeg File 2 atecotech2i18f6_f.jpeg File 3 atecotech2i2a08_f.jpeg File 4 atecotech2i6330_f.jpeg File 5 atecotech2i278f_f.jpeg File 6 atecotech2i5dba_f.jpeg File 7 File 8 File 9 File 10 File 11 File 12 File 13 File 14 File 15 File 16 File 17 File 18 File 19 File 20 Retain Record Retain Record Yes No Save Your Changes