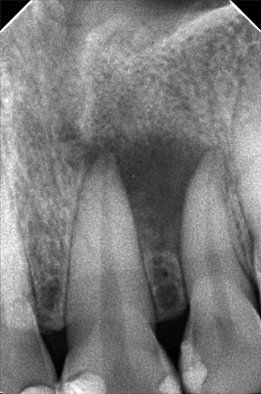
Edit Record Check our patient data records. Add patient information Patient Info Profile picture Last Name First Name Middle Name Birthdate Age Street Barangay City Country Zip Code Contact number Email Procedure 06/06/25 #11,21,22 w/ abcess PA9 abcess) w/ xray Recommendation: RCT or RCT w/ apecoectomy and retrograde filling File atecotech2i886_f_7.bmp File 2 atecotech2i6be6_f.bmp File 3 File 4 File 5 File 6 File 7 File 8 File 9 File 10 File 11 File 12 File 13 File 14 File 15 File 16 File 17 File 18 File 19 File 20 Retain Record Retain Record Yes No Save Your Changes