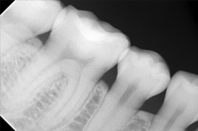
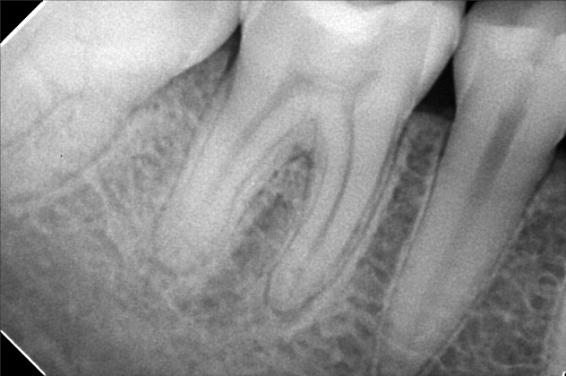
Edit Record Check our patient data records. Add patient information Patient Info Profile picture Last Name First Name Middle Name Birthdate Age Street Barangay City Country Zip Code Contact number Email Procedure 3/8/22- Op, LC # 16,17,27,45,46 xray 07-22-2022 Roth Bracket Placement; U/L 0.014Niti; Bu tube on 16,26,38,46 07-28-2022 Bu tube on 38 got dislodged; cut wire til 35; Molar Band placement next adjustment 9/13/22- RW #42D; UL 18NiTi; Reattach BT #46 10/14/22 - UL SAME WIRE 11/04/22-adj/reattached 1/21/23- Same Wire , reattached #46 , chain # 12-#22 12/10/22-adj/reaattched 01/21/23-Same wire/reattached/ Chain #12-22 07/08/23- same wire/ RPI #12/22(Mesial) cahin upper 08/03/23- Ligature wire UL for elastic (Box elastic) 01/20/24 16x 16 ss Ul chain Upper 11/21 IPR extrude 11/21 03/09/24 -same wire -new bracket #35 -box elasticcanine to 1st pm all quadrants 04/06/24 RPI #12- mesial Rw #12 distal chain upper box elastic fox 05/11/24 upper w/ crimpable hook on 11/21 distal chipmunk elastic class II IPR #11/21/22/12 05/31/24 #46 pulpotec fiber LC occlusal deep seated ozone 06/15/24 side class II elastic-fox trapezoidal front-monkey same wire 07/13/24 Adj same wire 08/10/24 IPE #12/22 same wire 09/07/24 Adj for removal nxt meeting 10/05/24 same wire 11/09/24 Removal of brace with retainer File 300023181_488555253110506_6856587295297773572_n.jpg File 2 milky_lameres.jpg File 3 milky_lameres_02.jpg File 4 milky_lameres_03.jpg File 5 milky_lava.jpg File 6 File 7 File 8 File 9 File 10 File 11 File 12 File 13 File 14 File 15 File 16 File 17 File 18 File 19 File 20 Retain Record Retain Record Yes No Save Your Changes