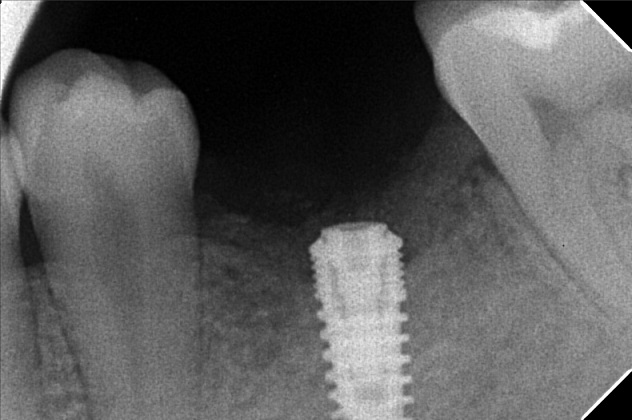
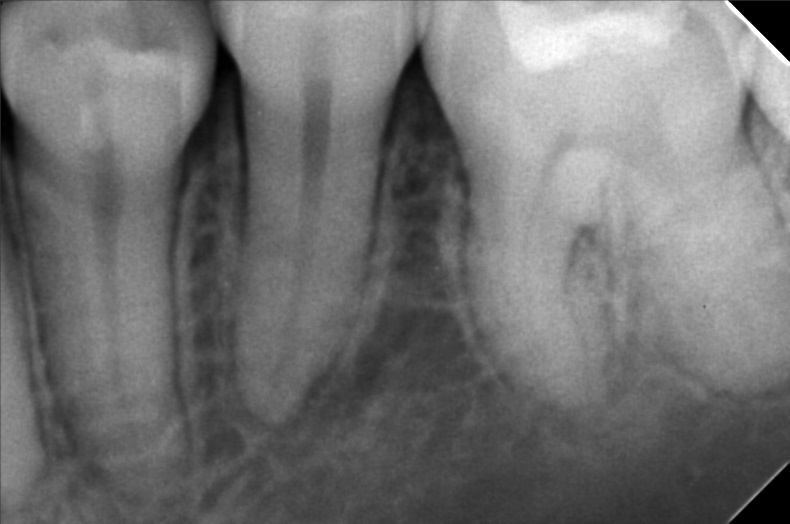
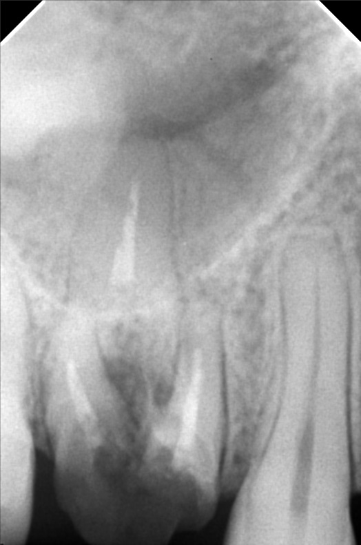
Edit Record Check our patient data records. Add patient information Patient Info Profile picture Last Name First Name Middle Name Birthdate Age Street Barangay City Country Zip Code Contact number Email Procedure 01/16/20 #18 niti lower #41 RW (distal) 09/17/21- exo 16/ upper for removal lower teeth- 34^ 16*16ssL 4/21/22- Implant #16 4.3 x 10mm with sinus lift #36 4x3 x 10mm under Iv CS 09/06/22 peri implantitis/ currettage and debridement/ ozone/ CGC/PRF/ bone filler- bio oss 025g 10/5/22 - CHECK UP; PRESCRIBED VIT D 1000IU; 0.9%NSS; ORAHEX 11/04/22-2healing Ab. 12/13/22- Pick up impression 12/24/22- IntsofCrown 5/06/23- Odontectomy tooth #12/Compound odontoma removal GBR-double oss cancellous and cortical bone 1cc and .25 cc with xenograft .25g/PRF-GTR Trapezoidal flap under IV conscious sedation non resorbable suture-nylon Specimen histopathology 05/20/23- removal of suture/ozone therapy/LC 46 mesial, Occlusal, buccal removal of amalgan 46 06/29/23- check up/xray/rem bal 3200 08/25/23-#12 Build Up/ Lingual retainer/OP 3200 BALANCE USED 04/19/24 check up LC #36 Occlusal of crown #26 lingual pit 05/25/24 3D scanning 10/04/24 #12 4mmx 11.5mm w/ incidental graft 1CGF 3 PRF membrane Odontectomy #38 10/12/24 attachment of temporary teeth 03/14/25 install healing abutment OP 05/01/25 3D scanning #12 full contour top abutment O/D: 5 G/H: 3MM A/H: 8MM 01/31/26 LC#37-B OP w/polish File micheal_2.jpg File 2 micheal.jpg File 3 img_20220421_171028.jpg File 4 300391815_794848065019598_3764074978376967115_n.jpg File 5 301522684_1451524321981960_1833940363743363873_n.jpg File 6 borja-m.jpg File 7 img_20221227_110757.jpg File 8 img_20221227_110831.jpg File 9 1000000484.jpg File 10 img_20241004_153433_742.jpg File 11 File 12 File 13 File 14 File 15 File 16 File 17 File 18 File 19 File 20 Retain Record Retain Record Yes No Save Your Changes