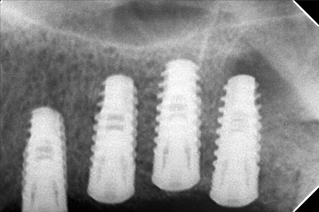
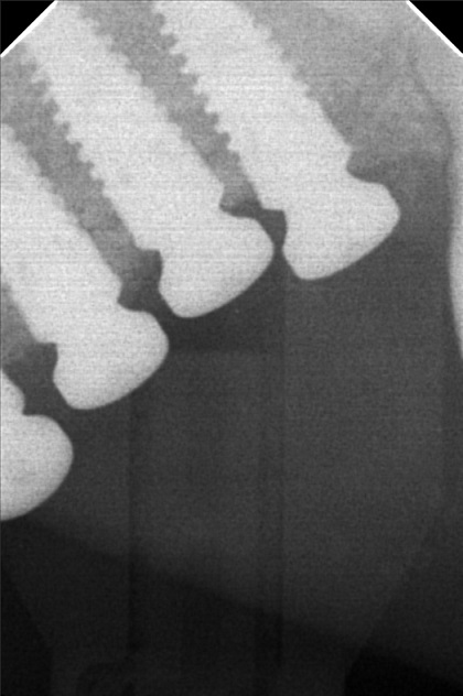
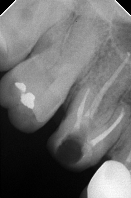
Edit Record Check our patient data records. Add patient information Patient Info Profile picture Last Name First Name Middle Name Birthdate Age Street Barangay City Country Zip Code Contact number Email Procedure 07/26/21- implant placement- 16-8.5mm 15-8.5mm/ 47/46/36/37 with prf/ cgf/ bone fillers 11/13/21 - 15 healing abutment installed- 3mm (6mm) 46/45 healing abutment installed- 6mm req for 3mm 12/17/21 - installation of abutments/ impression 12/22/21- PMMA 46/47/36/37 (12/29) final impression 2/3/22 - 4 implants 4.3x10mm lateral sinus lift LEFT 05/07/22- OP with ozone PA xray 05/13/22 recementation 22 veneers 05/31/22- Redo 23 Veneers PFZ- Temporary ***for healing abutment implants 08/12/22- installation of healing abutments 9/6/22- scan body/ intra oral scanned ***request for alginate impression *** shade A3 cervical A2 body 10/07/22- installed 4 units 24/25- with pink porcelain crown 26/27 ameloplasty mesial of 28 abutment sealed with TF Zirconia crown- screw retained 12/17/22- OP 05/13/23- xray/ozone 09/23/23- OP/AIRPOLISHER XRAY 10/13/23 -RCT #41 - flexion root opening - dressing formocresol 10-27-23- RCT #41 18.5 mm Champenol Flexion root 11-03-23- Obturation #41 MTA Fillapex, Master wire = fine 11/10/23 # 43 - veneer; emax # 42 - veneer; emax # 41 - crown; PF Z # 31 - veneer; emax # 32 - veneer; emax shade A3/ B2 11/17/23- Installation of Veneers- 43,42,31,32 (emax) Crown Zirconia- 41 Cement: choice 2 Prosapac Vacummed sheet retainer 05/25/24 OP w/ air polisher 03/29/25 OP w/ air polisher LC #42 (I) cementation repair veneer 06/13/25 Upper #23-PFZ Lower # 32,33- Zirconia bal.70k 06/18/25 installed PFZ crown #23 zirconia crown #33,#32 bal,. paid 08/08/25 Dx:peri implantitis #44/15 moldable bone-HUBT .m30 w/PRF #44 implant moldable bone HUBT .m30 w/ PRF #15 scaling and planning disinfect w/ citric acid irrigate w/ citric acid Rx: Celecoxib 400mg Tranexamic 500mg Co amoxiclav 625mg, Orahex Prednisone 10mg for 10 days 02/24/26 LC on iplant #25-Occ #23- Recement veneer 02/25/26 Repair 04/01/26 #13 DCV File 01cb0af9-a7ec-487f-a76f-2b7aa0463be3.jpeg File 2 9941df4f-eadd-49c9-a9ad-b0f3e6f2052a.jpeg File 3 2d4f20db-c762-4f0e-9fe3-4a3ecc7b62c0.jpeg File 4 a55f6852-691c-4c51-ad5c-f6f58a1f269c.jpeg File 5 a965f478-086f-4edc-bdde-4c4f9bcd41ff.jpeg File 6 d31d3680-98bc-43a6-bcb1-c3d0d4b8c1c5.jpeg File 7 roleenxray.jpg File 8 roleen_del_prado.jpg File 9 rollen_del_prado_02.jpg File 10 rpleen_del_prado_04.jpg File 11 1000005163.jpg File 12 File 13 File 14 File 15 File 16 File 17 File 18 File 19 File 20 Retain Record Retain Record Yes No Save Your Changes