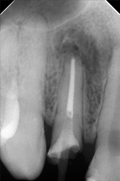
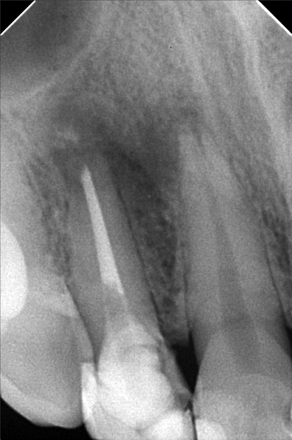
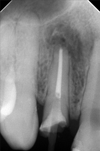
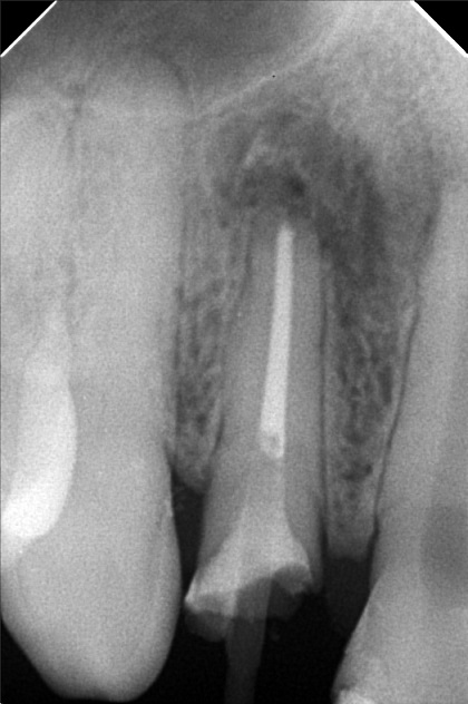
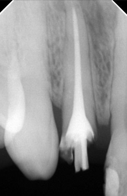
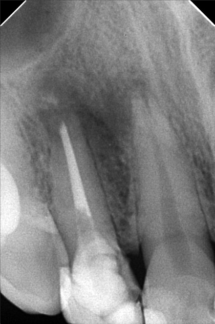
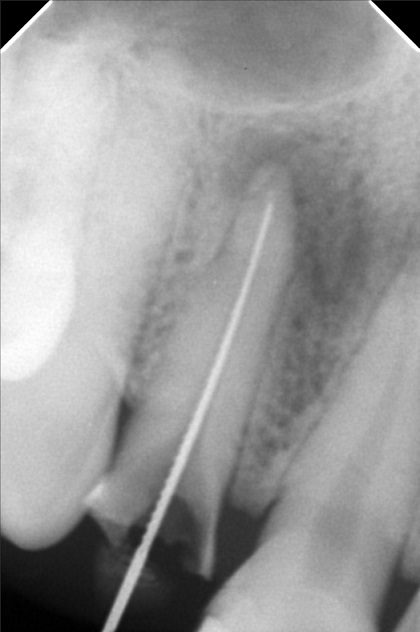
Edit Record Check our patient data records. Add patient information Patient Info Profile picture Last Name First Name Middle Name Birthdate Age Street Barangay City Country Zip Code Contact number Email Procedure 01-04-2019 > ADJUSTMENT = 400 03-04-2019 > ADJ. LOWER - CHAIN = 400 > UPPER - REMOVAL OF BRACES > UPPER RETAINER = 2,000 > #11,12.21 - 3 UNITS DIRECCT VENEERS = 15,000 > #RCT TENTATIVE LENGTH- 22MM = 1,500 03-31-2019 > 21MM LENGTH (22MM) > #35 FILE = 1,750 > CASE =150 05-14-2019 > ADJ. = 200 > #FILE #45 22MM > PRESSURE OF ABCESS 01/31/22- RCT 12 apecoectomy 12 fiberpost/ post and core build up zirconia fused to porcelain c2 cervical/ B2 body 02/08/22- INSTALLATION OF CROWN 08/14/23- LC 14 cervical, LC 35 Cervical 05/04/24 OP LC #17 O,L LC # 46 O,B LC #26 deep seated O,L fiber CaoH 11/09/24 OP LC #36 deep #24 04/05/25 LC #28 (L,O) #27 (O,L) #34 (O,C,D) caoH,OP 04/11/26 OP w/airpolish File ebue1-12.jpg File 2 ebue2-12.jpg File 3 ebue2-13.jpg File 4 ebue2-14jpg.jpg File 5 ebue2-15_f.jpg File 6 ebue2-16_f.jpg File 7 princess-1.jpg File 8 princess-2.jpg File 9 princess-3.jpg File 10 princess_santos.jpg File 11 File 12 File 13 File 14 File 15 File 16 File 17 File 18 File 19 File 20 Retain Record Retain Record Yes No Save Your Changes