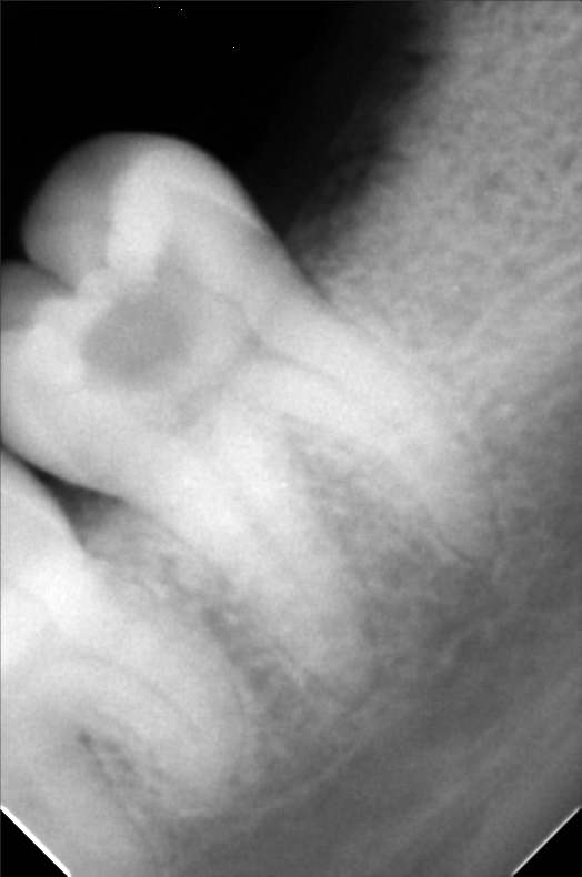
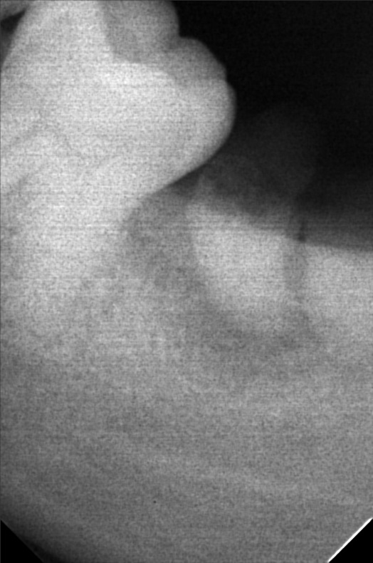
Edit Record Check our patient data records. Add patient information Patient Info Profile picture Last Name First Name Middle Name Birthdate Age Street Barangay City Country Zip Code Contact number Email Procedure 07/24/21- exo 46 Rf 08/03/21- 26/28 with suture2 10/20/21- 18 exo/ 47 exo rx: mefenamic, betadine mw, tranexamic 11/08/21- 38 removal- 3 sutures rx: mefenamic, amoxicillin 500mg-7 days/ tranexamic 11/17/21- OP/ SR 04/27/22- EXO File atecotech2i7cef_f.jpg File 2 10.jpg File 3 otero38.jpg File 4 File 5 File 6 File 7 File 8 File 9 File 10 File 11 File 12 File 13 File 14 File 15 File 16 File 17 File 18 File 19 File 20 Retain Record Retain Record Yes No Save Your Changes