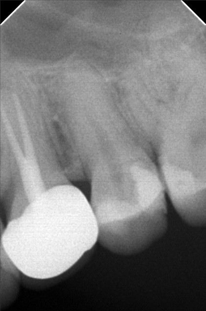
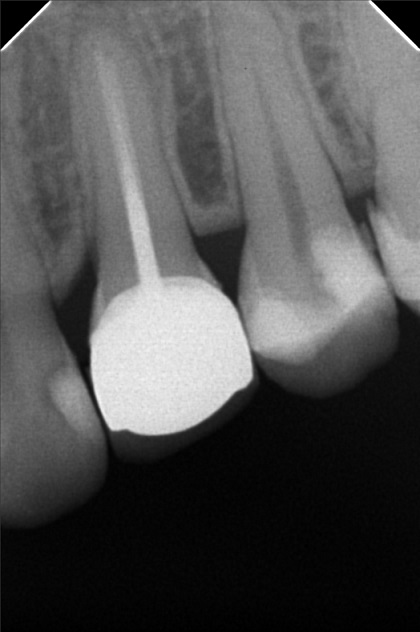
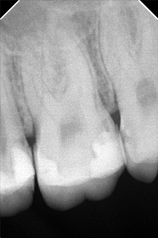
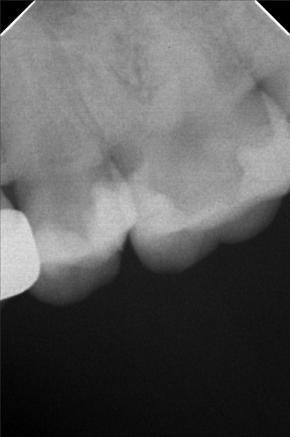
Edit Record Check our patient data records. Add patient information Patient Info Profile picture Last Name First Name Middle Name Birthdate Age Street Barangay City Country Zip Code Contact number Email Procedure 10/13/21- 26 LC with MTA MOD 23 Lingual Distal 11/24/21 - 25/27 LC# 27 #15 IRM -/Xray 03/16/22- zircinia prep on 15/16 shade: a3 body, cervical b3 digital impression done temporary crown done LC mesial 15, distal 14 xray on 24 3/25/22- installation 15, 16 zirconia opening of canal 24 TF with EUgenol 03/30/22 Lingual 18/ Buccal 19 Formocresol Incision and drainage Laser rx: co amoxiclav 625 mg/ mefenamic 500 mg 04/29/22- lingual 16.5mm buccal 19mm 05/04/22- obturation/ LC 8/12/22 - tooth prep #24 8/18/22- Cementation zirconia crown #24 8/26/22 - xray, intraoral radiograph 05/12/23- OP(L) 05/19/23- Xray/ Ozone/Resto - #21(mesial & lingual) 09/10/24 OP w/ air polisher 07/19/25 op with air polisher + fluoride 03/18/26 OP 04/08/26 #48 - Occ mesial MTA Fiber Biomimetic File delprado26.jpg File 2 delprado23-24-25.jpg File 3 6afb059c-2de8-4dc8-ac4d-ae6435b6dabc.jpeg File 4 katherine_del_prado.jpg File 5 katherine_del_prado_02.jpg File 6 katherine_del_prado_03.jpg File 7 File 8 File 9 File 10 File 11 File 12 File 13 File 14 File 15 File 16 File 17 File 18 File 19 File 20 Retain Record Retain Record Yes No Save Your Changes