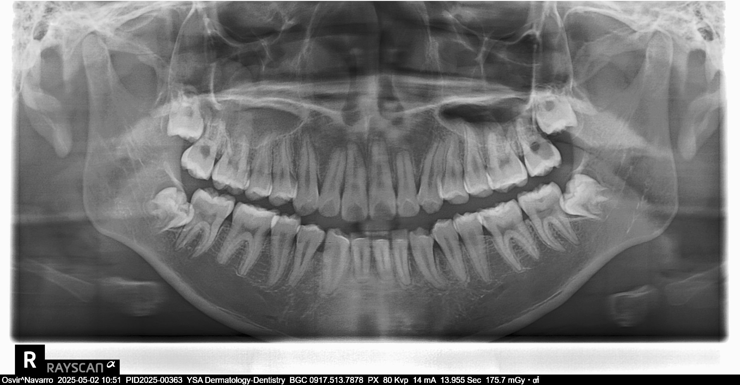
Edit Record Check our patient data records. Add patient information Patient Info Profile picture Last Name First Name Middle Name Birthdate Age Street Barangay City Country Zip Code Contact number Email Procedure 5/21/22- OP & LC #26 OB #36 OL 4/29/23- Exo/Sealant3/ 07/05/23-impression intra oral photos OP (no extra oral photos yet) 07/11/23- /installation upper braces/roth .22 niti 14 niti Frenectomy- diode laser/tongue tie 07/25/23- Installation of lower brackets 14 nit LC #37-Occ #47-Occ + Buccal #24-Occ 08/08/23- adjust 09/02/23- adjust 10/07/23- 18 Niti U/L reposition #23 11/11/23- 16 SS Upper 16 SS Lower, Chain #41-32, Extrude #33 12/22/23- 18 niti U with wire bendings on 21/ 22/23 same wire lower 03/16/24 same wire RW #12 04/12/24 New Bt #36 Adj 16 SS U 18 SS L RW #33- distal 05/18/24 adj 16x16 NiTi L 16x16 SS U elastic rabbit 06/15/24 same wire IPR #11/21/22/12 class II elastic chipmunk 07/16/24 16X22 SS U 16 NITI L 08/10/24 #45 new bracket 16 SS L same wire chain U 09/07/24 16x16 SS L class III elastic chipmunk 10/12/24 ADJ chain upper new buccal tube #36 tentative removal; march/april 11/09/24 same wire chain upper 12/20/24 new buccal tube #26 reattach #25 (new) rabbit 3.5 oz 01/25/25 adj same wire cross elatic-penguin 2nd pm to 3rd 02/22/25 Adj canine to canine chipmunk posterior to posterior rabbit 5oz 03/29/25 Adj crimpable hook class II elastic rabbit 5oz for removal nxt month 04/26/25 removal brace w/ free retainer 05/17/25 ODontectomy #18,48 w/ IV CS Rx: clindamycin 300mg/ celecoxib 05/23/25 suture removal 06/03/25 Odontectomy #28,#38 Rx: prednisone. B complex, celecoxib 200mg, IV CS 06/10/25 LC #22 Mesial,facial 05/05/26 OP varnish File jaunne_osvir.jpg File 2 file_0001_2_1.jpg File 3 1000006361.jpg File 4 1000006360.jpg File 5 1000006359.jpg File 6 1000006358.jpg File 7 1000006354.jpg File 8 1000006353.jpg File 9 File 10 File 11 File 12 File 13 File 14 File 15 File 16 File 17 File 18 File 19 File 20 Retain Record Retain Record Yes No Save Your Changes