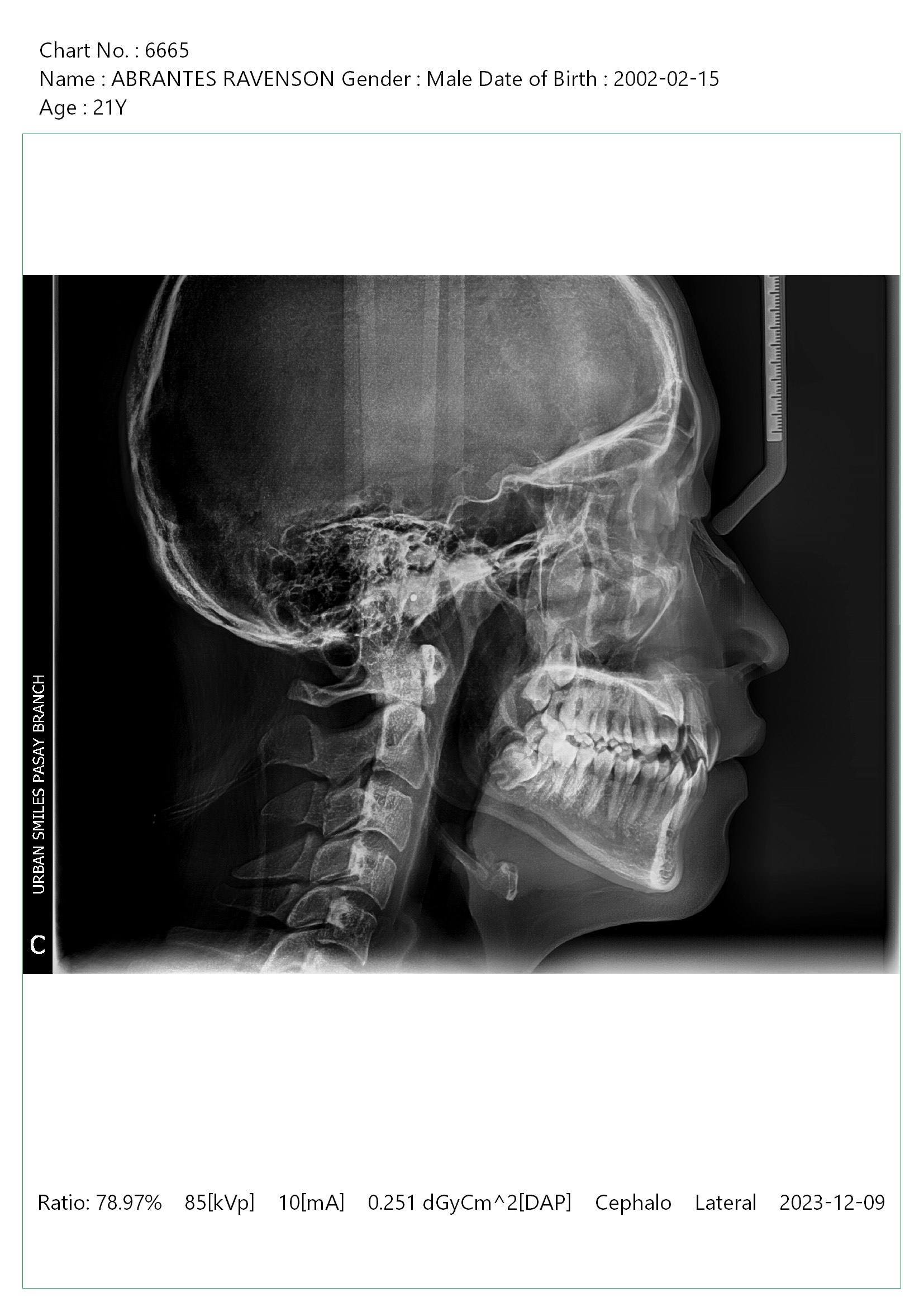
Edit Record Check our patient data records. Add patient information Patient Info Profile picture Last Name First Name Middle Name Birthdate Age Street Barangay City Country Zip Code Contact number Email Procedure 03/12/24 Check up 03/22/24 bite analysis 04-03-24 install of braces genuis metal self ligating hook 3'4'5 ebba NITI 14 U/L #46/ #36 w/ occlusal pads 06/11/24 IPR lower Anterior distal coilspring on #33 10/15/24 Adjust 12/11/24 Adj reattached #12 elastic penguin 03/15/25 adj same wire box elastic fox 05/24/25 Ebba thermal niti archwire .014x.025 w/ pre stop incisal reshape anterior upper fox - box elastic L&R L 14x25 ebba niti 08/16/25 ADJ 10/29/25 adjustment same wire reattach #12 pontics #23 12/18/25 Adjustment Upper Chain Elastic: Penguin 02/27/26 Adjustment Re-Attached #12- #22 05/13/26 adjustment File img_20240312_165018.jpg File 2 img_8343.jpg File 3 img_20240313_103618.jpg File 4 img_8341.jpeg File 5 img_20240403_162136.jpg File 6 rayven_abrante.jpg File 7 rayvenabrantes.jpg File 8 File 9 File 10 File 11 File 12 File 13 File 14 File 15 File 16 File 17 File 18 File 19 File 20 Retain Record Retain Record Yes No Save Your Changes