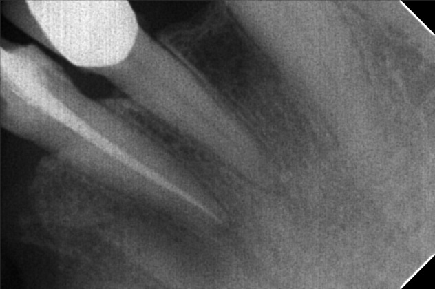
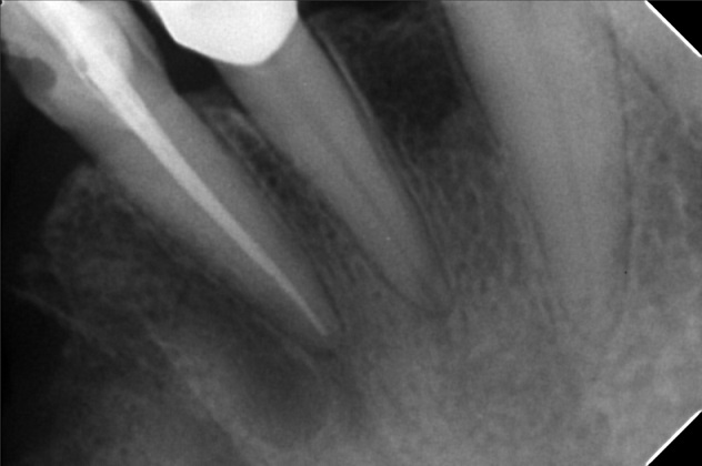
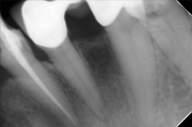
Edit Record Check our patient data records. Add patient information Patient Info Profile picture Last Name First Name Middle Name Birthdate Age Street Barangay City Country Zip Code Contact number Email Procedure 3/18/22- check up/request for pano and cbct 03/29/22- IV CS 15 Exo # 41 RCT 8 lidocaine with laser Hemostasis 04/06/22- suture removal RCT 41- formocresol 4/8/22 - 20mm campHENOL FILE 04/22/22 - irrigate. dressing CAOH with barium for obturation 6/10/22 - Ints. Of Dentures U/L IVOCAP recall after a week 08-30-2022 > UPPER #4 AND #15 - CANTILEVER - PFM > LOWER 31,32,33, - BRIDGE - PFM > #41 AND 34 INDIVIDUAL- PFM (FOR TRIAL UNGLAZED) > RX : PLEASE FOLLOW THE SHADE AND ALIGNMENT OF THE DENTURES GIVEN. > TRIAL UNGLAZED > PLEASE RELME LOWEER ALSO (MALUWAG ACCDG TO PX) 02/01/23 UPPER&LOWER DENTURE File 301740367_752091116087312_6047312947102650902_n.jpg File 2 301741748_378425624459133_2764335481472559812_n.jpg File 3 fatima_agdeppa.jpg File 4 fatima_agdeppa_02.jpg File 5 fatima_agdeppa_03.jpg File 6 File 7 File 8 File 9 File 10 File 11 File 12 File 13 File 14 File 15 File 16 File 17 File 18 File 19 File 20 Retain Record Retain Record Yes No Save Your Changes