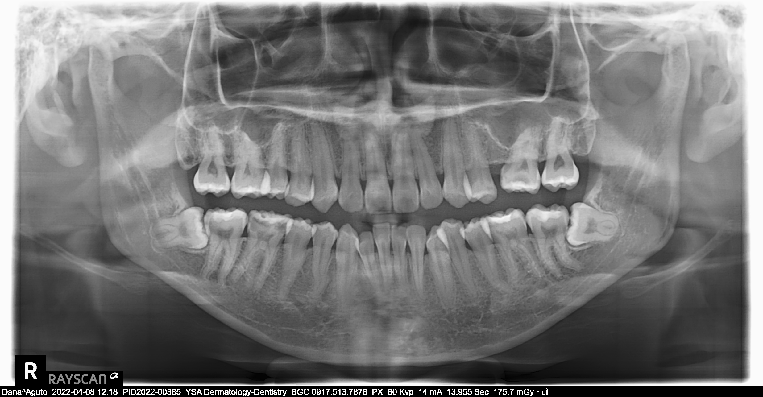
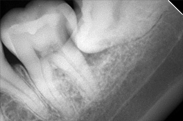
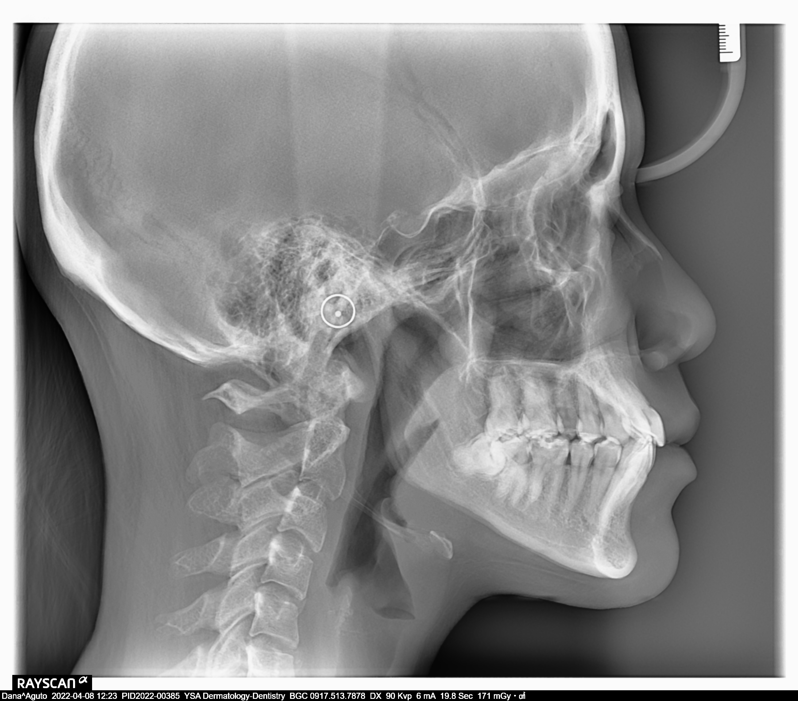
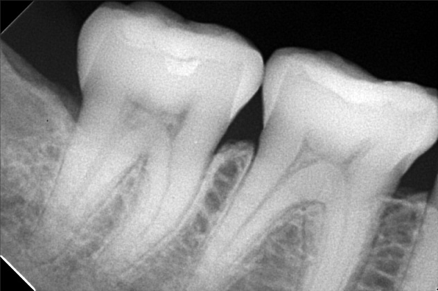
Edit Record Check our patient data records. Add patient information Patient Info Profile picture Last Name First Name Middle Name Birthdate Age Street Barangay City Country Zip Code Contact number Email Procedure 4/8/22- check up ***pano/ ceph ***#46 exo presence of lip tie 04/02/22 odontectomy 48/38- class 3/ mesioverted exo 46/ tongue tie/ ankyglossia frenectomy (laser) pt under IV CS Ozone therapy ****ff up after 2 weeks/ ***for orthodontic treatment 06/16/22 LC 24 OD/ CAOH LC 47 M op/ OZONE 1/11/23- Adj , 16niti Upper, Rotational Wedge # 42D , reattached #35 11/04/22-OP/LC 15,36,26,/mta/XRAY 11/16/22-InsOfBraces/Niti 14/14(MBT0.22) 12/07/22-adj 01/11/23- adj 04/12/23- same wire U/ Lower NiTi 16/ reattached #34,15/IPR between #32-33 05/05/23- U same wire; L SS-16; Resto #14DO, #15MOD, #16D 06/07/23- Informed Consent Resto #14DO (redo) Ortho UL same wire Remove RW #33 Monkey elastics #13-#23-#33-#43 07/19/23- Lc 36 occusal, lingual 18 ss U 18ss l rw 33 distal 08/18/23- 09/15/23- same wire #22 extrude 10/13/23 - adjustment, same wire - RW on #12 mesial 12/13/23-16X16 L -Penguin Cross Elastic -Upper to Right -Lower to left 01/12/24- adjustment same wires X-elastics on posterior Pms FOR removal on APRIL 02/21/24 same wire chain upper and lower rabbit to 3's to 4's 03/22/24 same wire rabbit 43 to 25 chipmunk 13 to 45 RW #45 distal 04/19/24 Removal of braces for retainers( vacuumed retainers) OP w/ flouride impression U/L 07/19/25 op with air polisher 03/18/26 Summer smile promo LC #14 - M,O, D + caoH + GI #15 - M,O,D + desen #16- M, O, Li + caoH + GI 03/26/26 Redo 04/08/26 check up 05/14/26 LC #16- fiber + mta File dana46.jpg File 2 file_0001_1_2.jpg File 3 file_0001_3.jpg File 4 dana_aguto.jpg File 5 dana_aguto_02.jpg File 6 dana_aguto_03.jpg File 7 dana_guto_04.jpg File 8 img_20240406_103512.jpg File 9 File 10 File 11 File 12 File 13 File 14 File 15 File 16 File 17 File 18 File 19 File 20 Retain Record Retain Record Yes No Save Your Changes