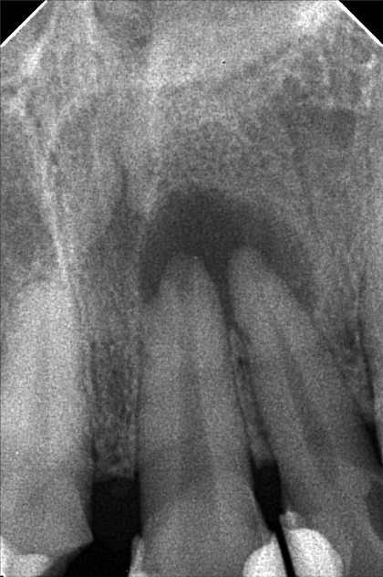
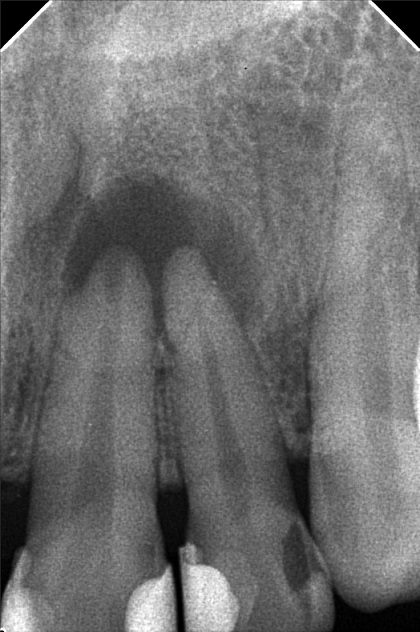
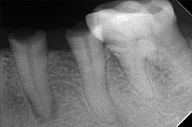
Edit Record Check our patient data records. Add patient information Patient Info Profile picture Last Name First Name Middle Name Birthdate Age Street Barangay City Country Zip Code Contact number Email Procedure 10/18/22 - OP (L); RESTO #11 (M); EXO #35 #34; Given post op instructions; Mefenamic Acid500mg, Amox500mg, Tranexamic500mg File 305545981_638662807975979_5601133016371642241_n.jpg File 2 san_miguel.jpg File 3 san_miguel_02.jpg File 4 san_miguel_03.jpg File 5 File 6 File 7 File 8 File 9 File 10 File 11 File 12 File 13 File 14 File 15 File 16 File 17 File 18 File 19 File 20 Retain Record Retain Record Yes No Save Your Changes