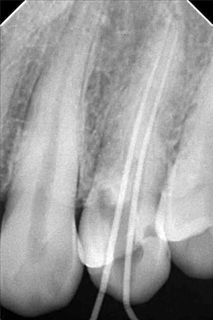
Edit Record Check our patient data records. Add patient information Patient Info Profile picture Last Name First Name Middle Name Birthdate Age Street Barangay City Country Zip Code Contact number Email Procedure 02/08/22- Resto Lc 14 MO+ CAOH/ 24 MO/ 28 O 7/8/22- Broach, 2 Canals, Pulp devitelizer, eugenol 7/15/22- 23 buccal, 23 lingual stop at 25 file , campenol - 7/22/22 - CAOH dressing. 30mm file 08/10/22- obturation/ 23mm resto 24 occlusal/ Lc 22 lingual File anthonygarcia.docx File 2 299444183_756856052263890_2466150992968737449_n.jpg File 3 anthony_garcia.jpg File 4 anthony_garcia_1.jpg File 5 File 6 File 7 File 8 File 9 File 10 File 11 File 12 File 13 File 14 File 15 File 16 File 17 File 18 File 19 File 20 Retain Record Retain Record Yes No Save Your Changes