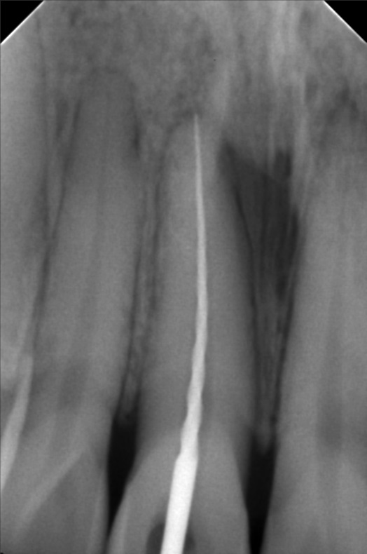
Edit Record Check our patient data records. Add patient information Patient Info Profile picture Last Name First Name Middle Name Birthdate Age Street Barangay City Country Zip Code Contact number Email Procedure 07/31/21 adj 16x22 UL 09/24/21- removal of lower braces exo 46/ upper adjustment chain 10/23/21- removal of braces upper and lower (for resto: 36/37/47 RCT #11- open canal 26mm= camphenol 11/3/21- 26mm yellow and white file apexcal composite veneer #11 11/08/21 - red file/ laser RCt tx for obturation next meeting 11/13/21 - obturation 26mm with restoration lingual pit 03/5/22- LC 26 Lingual pit, Occ/ Op File icalabisrct11.jpg File 2 301088955_824076712092412_6089268001725499639_n.jpg File 3 301583710_588567209482622_936847165020659250_n.jpg File 4 301875545_1490603051363326_3867455551585293159_n.jpg File 5 302308769_1073326889984866_975291161993186277_n.jpg File 6 File 7 File 8 File 9 File 10 File 11 File 12 File 13 File 14 File 15 File 16 File 17 File 18 File 19 File 20 Retain Record Retain Record Yes No Save Your Changes