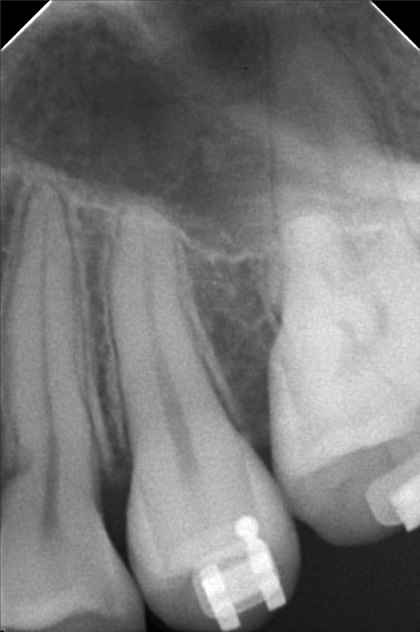
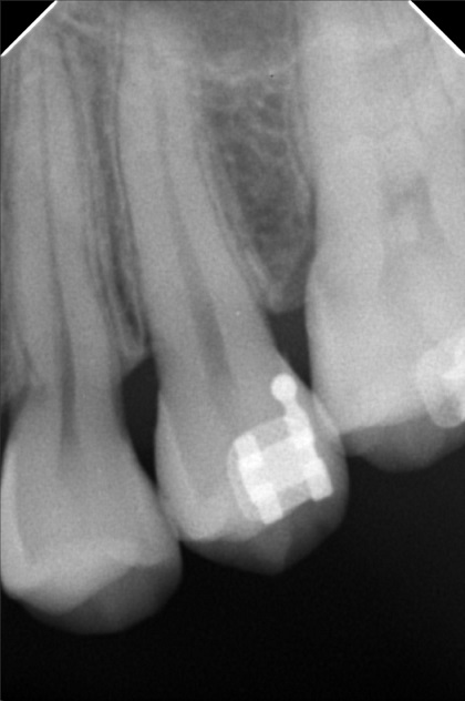
Edit Record Check our patient data records. Add patient information Patient Info Profile picture Last Name First Name Middle Name Birthdate Age Street Barangay City Country Zip Code Contact number Email Procedure 08-20-2018 > OP =FREE > CONSULTATION 01/24/21 Ortho initial assessment + OP 37 Resto 1 impression, intra oral extra oral photos 01/31/21 installation of braces - headway mbt niti 0.014 4/L +ortho kit + ortho wax +panoramic xray +cepnalometric xray 4/L 4.5 (PM) for EXO #14 07/24/21- U16ss/ L16ss chain U3-6 distalized 09/10/21- double wire niti 14U to ss16/L 18ss 10/12/21- double wire niti 16 to tooth12 18ss u/l 11/13/21-18ss u/L rw 12/ chain lower class 3 elastic fox 12/10/21- ADJ same wire/ rpi 12-mesial to midline/ class 2 elastic fox 1/14/22 - 18SS Upper lower, penguin 13- 43 closing space on 13-12 02/12/22- adj 18 niti U/ 18ss L- reposition 11/ mesialize 12/ RPI distal 11 03/18/22- 16 ss U/ 18 ssL. mesialize 13. chpmunk 14 to 43 08/30/22 - Same wire UL; chain L ind U; Exo #24; given post op instructions; mefenamic acid500mg #6 10/07/22 - U18SS LOOP ON DISTAL OF LATERALS, LIGATURE WIRE ON #12-23, CHAIN ON #12-23, L SAME WIRE, CHAIN #46-35; FOX LOOP - #46, AND #36 11/26/22- Adj/reattached 12/3/22- 01/14/23-adj 3/24/23- SAME WIRE/ Uind. Lchain/ rabbit(left); penguin(right)/ RESTO #47O 05/05/23-RW - Distal of 41 07/08/23- LC #15,25 Mesial 08/02/23- same wire Coils spring 26-25 chain upper/ individual lower con. ligature wire 10/20/23- 16x16 UL, Buccal tube #26 fox 11/17/23- same wire, chain upper, close space on #26 12/22/23-16x 22ss L for stabilization 16x 16ss U 26 and 27 for mesialized- closing space for upper chipmunk 26 to 33 01/31/24- same wire closing of spaces rabbit elastic on 26- 33 03/12/24 -same wire -next meeting buccal tube on #27 ( April 12) 04/12/24 IPR #42 chain upper lower chain 42-41-31 05/25/24 ADJ same wire chain U reattach #32 08/03/24 Adj same wire 09/07/27 removal of brace for retainer File jbunagan36.jpg File 2 302539527_1076622993020674_8392136194420779006_n.jpg File 3 302669028_1733391517029636_1062912913019534983_n.jpg File 4 bunagan_janine.jpg File 5 bunagan_janine_02.jpg File 6 janine_bunagan.jpg File 7 File 8 File 9 File 10 File 11 File 12 File 13 File 14 File 15 File 16 File 17 File 18 File 19 File 20 Retain Record Retain Record Yes No Save Your Changes