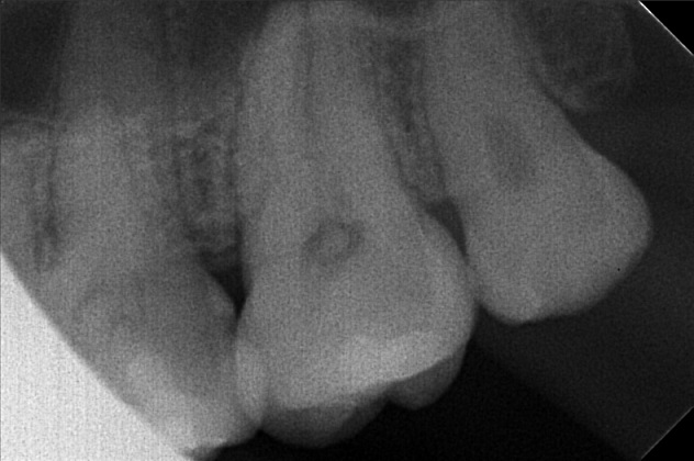
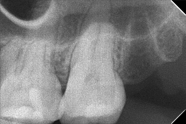
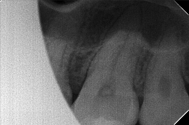
Edit Record Check our patient data records. Add patient information Patient Info Profile picture Last Name First Name Middle Name Birthdate Age Street Barangay City Country Zip Code Contact number Email Procedure 02-29-2020 > OP + REMOVAL OF BRACE = 1,500 TF OBME = 300 08/052/21- ADJ chain upper/ LC 35 OD 10/02/21- adj 16*16U- canine upper extrude 1ss lower 11/05/21 - 43 extrude- chipmunk class 2 elastic rabbit- RPI 11/21 MD reattached 11 12/22/21- adj same wire/ force 2 class 2 elastic. tip lingually 4 ant. upper 01/12/22 - adj wire: 18 niti lower same upper box elastic fox 25-26 to 34-35/ 15-16 to 44-45/ class 2 elastic rabbit 02/25/22 - adj . upper same wire , Upper chain, 16x16L individual 03/25/22 sx a6 ssUL/ chain upper RPI 11/21 mesial / 13 mesial- closure of interdental spaces/ ***for crimpable hook/ deep bite 5/13/22-same wire/ RPI 11/21 mesial/ closing of IDS/ LC 16 mesial 6/10/22- same wire/ RPI 11/21 mesial/ LC 36 O+ observe lc 38 O B + caoh- observe 7/29/22- ADJ 9/8/22- U/L SAME WIRE, U CHAIN, RABBIT CLASS II, EXO #28, GIVEN POST OP INSTRUCTIONS 10/12/22 - U/L SAME WIRE, U CHAIN, RESTO #47 (OL), #48 (O) 11/12/22-adj 12/24/22-Adj/2 reattached/exo/gelfoam/ozone 04/09/23- same wire/ 1pr #Mesial of #22/RW on Mesial #22 05/07/23- same wire 07/09/23-same wire chain u/lIPR 11 /21 mesial 09/01/23- removal of braces impression UL for retainers File karla_parreno.jpg File 2 karla_parreno_02.jpg File 3 karla_parreno_03.jpg File 4 File 5 File 6 File 7 File 8 File 9 File 10 File 11 File 12 File 13 File 14 File 15 File 16 File 17 File 18 File 19 File 20 Retain Record Retain Record Yes No Save Your Changes