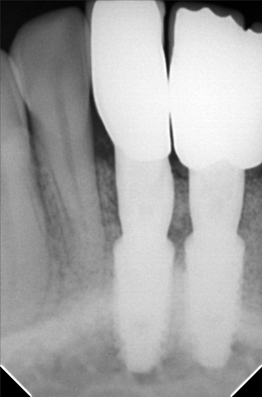
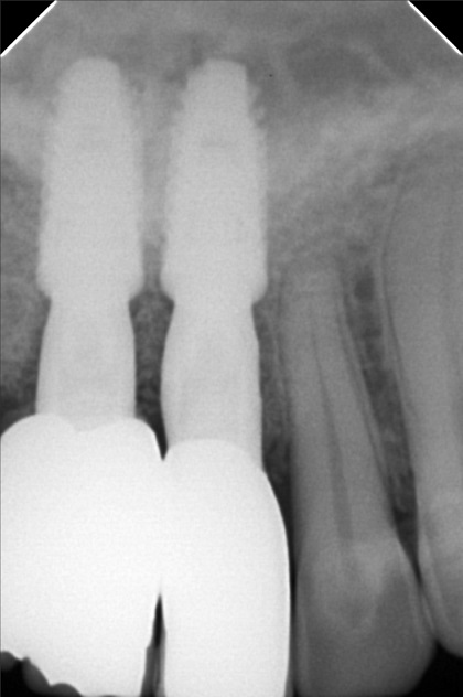
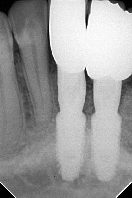
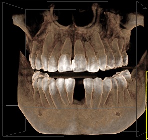
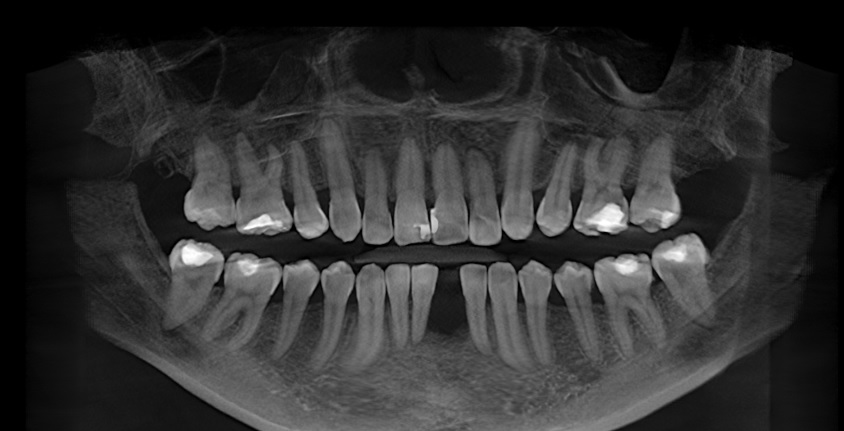
Edit Record Check our patient data records. Add patient information Patient Info Profile picture Last Name First Name Middle Name Birthdate Age Street Barangay City Country Zip Code Contact number Email Procedure 01/30/21 ICF - check up Feb 8,2021 - Implant 11/03/22- OP/OZONE/PAD feb,20,2021- removal of suture march 31,2021- LC 11 & 21 07/31/21 repair 41 zirconia resto 36CAOH/46 CAOH/43/34 OP June 4,2022 - OP / Xray 05/13/23- OP(Moderate); xray; ozone Oct 1 2023 op with air polisher noticed gum recession Removal of fiber splint on 42/43 05/07/24 Air polisher Xray OP 06/15/24 connective tissue graft harvested side: upper right quadrant w/ suture- monofilament absorbable 4/0 donor site: implant #41/32 buccal and lingual combination of monofilament absorbable 4/0 and nylon 6/0 non absorbable 06/22/24 check up 06/29/24 suture removal File raposa_donna_kelly_3.jpg File 2 raposa_donna_kelly_2.jpg File 3 raposa_donna_kelly_1.jpg File 4 donna_kelly.jpg File 5 june_42022.jpg File 6 raposa_donna.jpg File 7 raposa_donna_02.jpg File 8 img_2831.jpg File 9 File 10 File 11 File 12 File 13 File 14 File 15 File 16 File 17 File 18 File 19 File 20 Retain Record Retain Record Yes No Save Your Changes