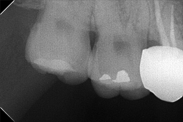
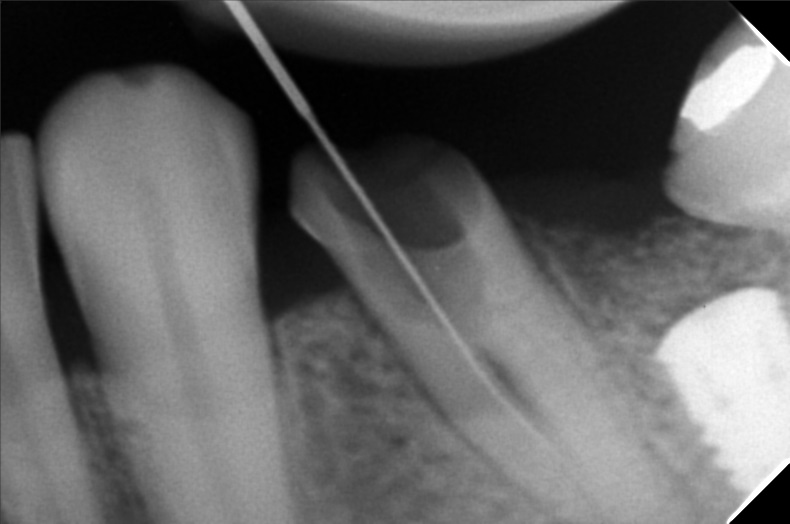
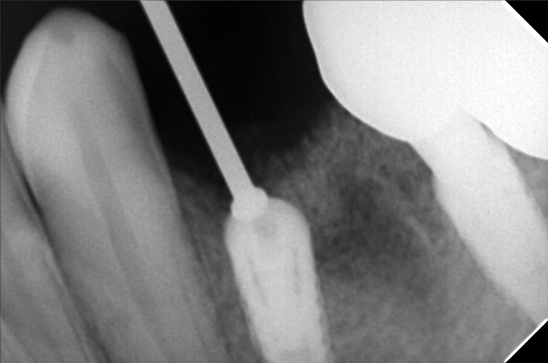
Edit Record Check our patient data records. Add patient information Patient Info Profile picture Last Name First Name Middle Name Birthdate Age Street Barangay City Country Zip Code Contact number Email Procedure 11/26/21 - healing abutment # 34 12/21/22- reattched crown 37 05/07/22- OP with ozone 05/31/22- 12/22 veneer PFZ body B2 cervical A3 Full contour zirconia 11/21 11 withpost and core 15- PFZ crown 16-FOR RCT referred to Dr morales 12/3/22- op/ozone/xray 12/17/22- OP 09/23/23- OP/AIRPOLISHER XRAY 05/25/23 OP w/ air polisher 07/27/24 #23 shade B2/ Inc. DCV 03/29/25 Op w/ air polisher File d_del_prado.jpg File 2 a7bda35f-b3b7-42f9-82f0-86133f7b225b_1.jpeg File 3 a5684040-6f37-4043-b0fd-141f1ca08e56_1.jpeg File 4 5dd90d94-79e3-444c-ac24-642a7531f846_1.jpeg File 5 atecotech2i5c14_f.jpg File 6 daisy_del_prado.jpg File 7 File 8 File 9 File 10 File 11 File 12 File 13 File 14 File 15 File 16 File 17 File 18 File 19 File 20 Retain Record Retain Record Yes No Save Your Changes