Check our patient data records.
Patient Info
- Profile picture

- Last Name
- Bonifacio
- First Name
- Angelica
- Middle Name
- Birthdate
- November 24, 1975
- Age
- 45
- Street
- 3369 palosapis st
- City
- paranaque city
- Country
- Philippines
- Zip Code
- 1700
- Contact number
- 09605289484
- jing_topaz@yahoo.com
- Procedure
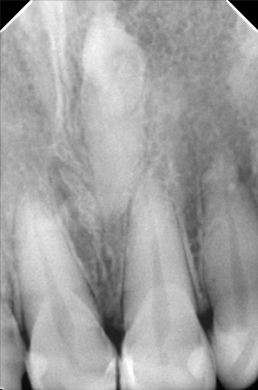
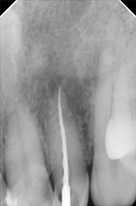
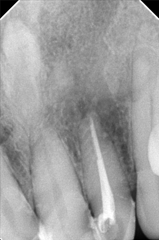
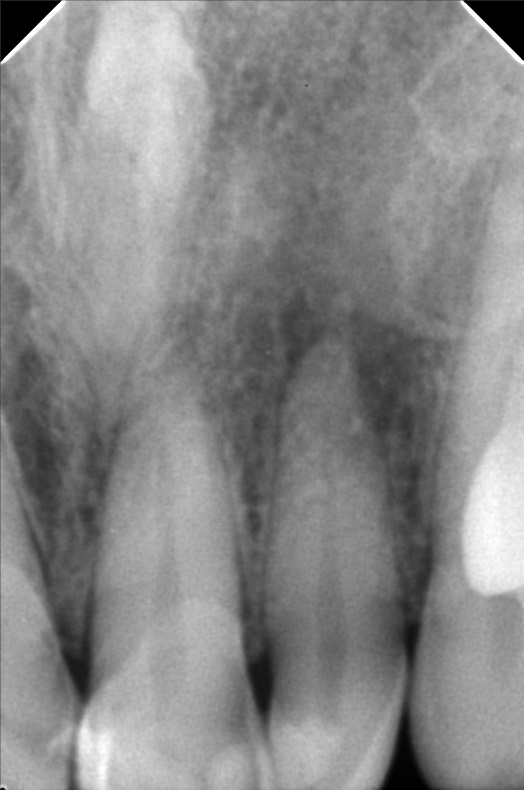
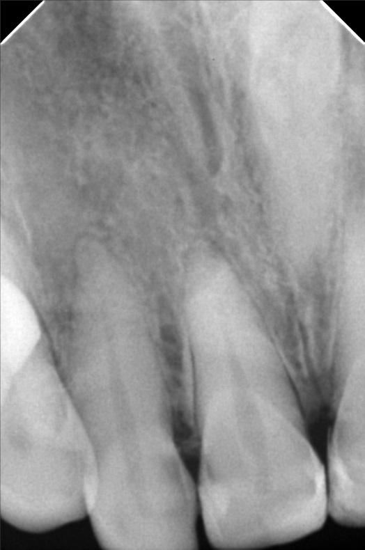
- 10/05/21 -0p/ Lc 11m/21M *22 subject for rct *11 distal repeat lc/ 21 repeat lc/ 12 lingual repeat lc 10/15/21- rct 22mm/ apical abcess laser done apexcal 10/22/21 - LC #12 mesial #11 Lc Distal #21 Distal LC #22 veneer #22 obturate- 22mm guttaflow 04/02/22- veneer due to spaces #41/42/43/31/32/ shade A3/ esthetica 08/25/2023- Cleaning veneer re-polish 11/12/22/21
- File
- bonifacio1.jpg
- File 2
- bonifacio2.jpg
- File 3
- bonifacio3.jpg
- File 4
- 22bonifacio101521.jpg
- File 5
- atecotech2i7704_f.jpg
- File 6
- File 7
- File 8
- File 9
- File 10
- File 11
- File 12
- File 13
- File 14
- File 15
- File 16
- File 17
- File 18
- File 19
- File 20
- Retain Record
- Yes