Check our patient data records.
Patient Info
- Profile picture

- Last Name
- Yu
- First Name
- Marlon
- Middle Name
- G.
- Birthdate
- April 15, 1989
- Age
- 30
- Street
- 40 H Francisco St.
- City
- n/n
- Country
- n/n
- Zip Code
- 1551
- Contact number
- 09063983082
- teethub2.2018@gmail.com
- Procedure
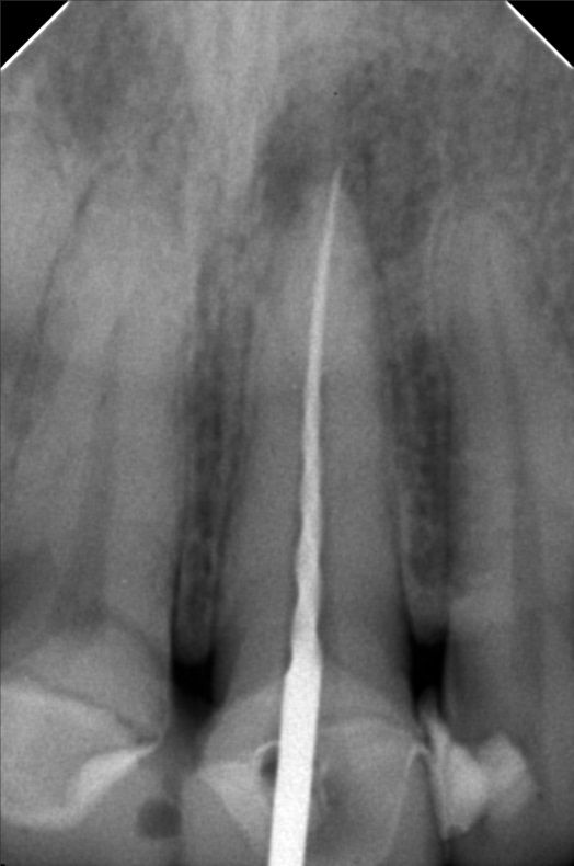
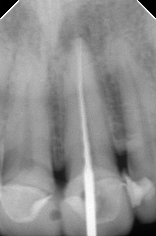
- 01/31/21 OP xray 11&21 #21 with periapical abcess 02/07/25 White and Yellow file patent 25mm apexcal ICF
- File
- yu.jpg
- File 2
- yu_2.jpg
- File 3
- File 4
- File 5
- File 6
- File 7
- File 8
- File 9
- File 10
- File 11
- File 12
- File 13
- File 14
- File 15
- File 16
- File 17
- File 18
- File 19
- File 20
- Retain Record
- Yes