Check our patient data records.
Patient Info
- Profile picture

- Last Name
- Manarondong
- First Name
- Sittie Jamila
- Middle Name
- Diator
- Birthdate
- January 25, 2006
- Age
- 15
- Street
- Tindalo
- City
- Paranaque City
- Country
- Philippines
- Zip Code
- 1633
- Contact number
- 09615442007
- Procedure
- 12/21/21- OP and check up
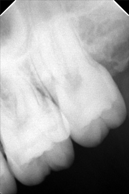
- File
- jamila.jpg
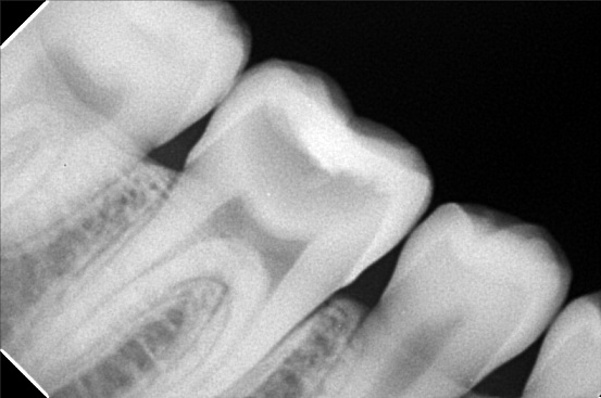
- File 2
- jamiola2.jpg
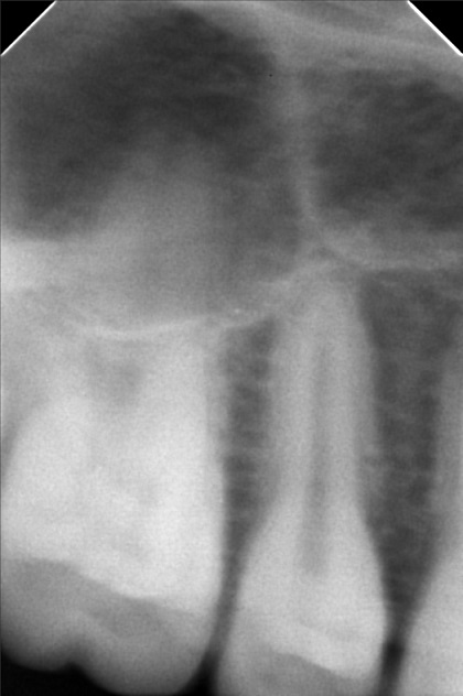
- File 3
- jamilla_manarondong_01.jpg
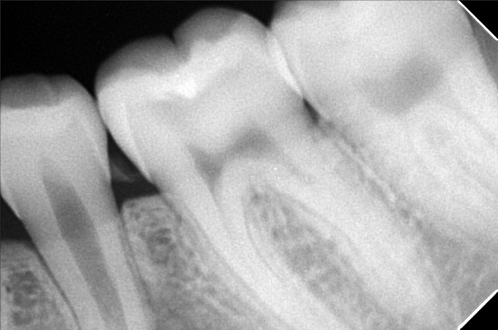
- File 4
- jamilla_manarondong_02.jpg
- File 5
- jamilla_manarongdong_03.jpg
- File 6
- jamilla_manarong_04.jpg
- File 7
- File 8
- File 9
- File 10
- File 11
- File 12
- File 13
- File 14
- File 15
- File 16
- File 17
- File 18
- File 19
- File 20
- Retain Record
- Yes