Check our patient data records.
Patient Info
- Profile picture

- Last Name
- colintabo
- First Name
- Harold
- Middle Name
- Birthdate
- April 12, 1997
- Age
- 24
- Street
- brgy north signal durian st 11a
- City
- Country
- Zip Code
- Contact number
- 09553760001
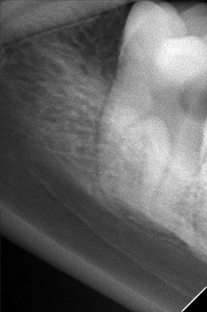
- Procedure
- 2/1/22- op/ heavy for exo 46/36
- File
- 1.jpg
- File 2
- 2.jpg
- File 3
- File 4
- File 5
- File 6
- File 7
- File 8
- File 9
- File 10
- File 11
- File 12
- File 13
- File 14
- File 15
- File 16
- File 17
- File 18
- File 19
- File 20
- Retain Record
- Yes