Check our patient data records.
Patient Info
- Profile picture

- Last Name
- Bonifacio
- First Name
- Jasmine
- Middle Name
- Abarquez
- Birthdate
- Age
- Street
- 3369 Palosapis St.
- City
- Paranaque City
- Country
- Philippines
- Zip Code
- 1713
- Contact number
- 09399086670
- jasminbonifacio13@yahoo.com
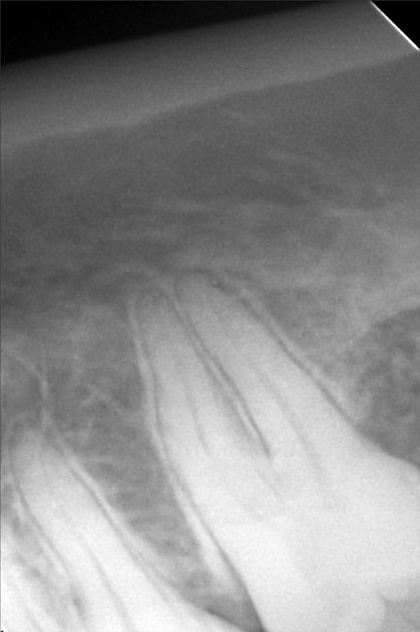
- Procedure
- 2/25/22- #48 Odontectomy , laser sedation , Biostimulation. 05/07/22- biostimulation
- File 2
- bonifacio_jasmine_02.jpg
- File 3
- bonifacio_jasmine_03.jpg
- File 4
- File 5
- File 6
- File 7
- File 8
- File 9
- File 10
- File 11
- File 12
- File 13
- File 14
- File 15
- File 16
- File 17
- File 18
- File 19
- File 20
- Retain Record
- Yes