Check our patient data records.
Patient Info
- Profile picture

- Last Name
- Emilio
- First Name
- Arlan
- Middle Name
- Birthdate
- October 18, 1970
- Age
- 53
- Street
- 35 Rodriguez St Zone 5 Central Signal Village
- City
- Taguig
- Country
- Zip Code
- Contact number
- 09327920639
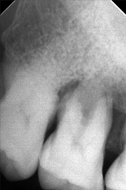
- Procedure
- 3/3/22- Periotx/laser curettage severe/laser post scalling/ mepivicane. 4/8/22 - ozone therapy/ 17 distal LC ff up Cleaning 01/28/23- OP 06/05/24 OP
- File
- arland_emilio.jpg
- File 2
- arlan_emilio.jpg
- File 3
- File 4
- File 5
- File 6
- File 7
- File 8
- File 9
- File 10
- File 11
- File 12
- File 13
- File 14
- File 15
- File 16
- File 17
- File 18
- File 19
- File 20
- Retain Record
- Yes