Check our patient data records.
Patient Info
- Profile picture

- Last Name
- Laig
- First Name
- Nestor jr
- Middle Name
- Birthdate
- May 8, 1975
- Age
- 46
- Street
- 3366 palosapis st.
- City
- Paranaque City
- Country
- Zip Code
- Contact number
- 09773750270
- Procedure
- 4/1/22- check up 26 asthmatic px rx clindamycin,300 mg 7 days, tramadol 500mg
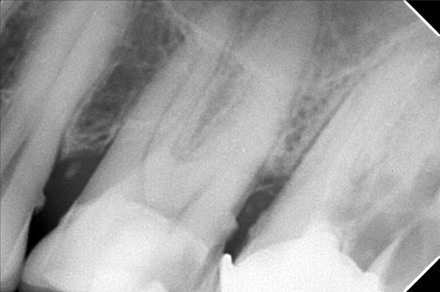
- File
- nestor_laig.jpg
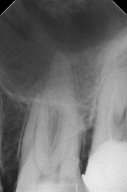
- File 2
- nestor_laig_02.jpg
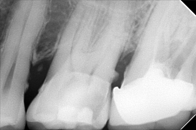
- File 3
- nestor_laig_03.jpg
- File 4
- File 5
- File 6
- File 7
- File 8
- File 9
- File 10
- File 11
- File 12
- File 13
- File 14
- File 15
- File 16
- File 17
- File 18
- File 19
- File 20
- Retain Record
- Yes