Check our patient data records.
Patient Info
- Profile picture

- Last Name
- Abejuela
- First Name
- Arianne Nicole
- Middle Name
- Birthdate
- August 15, 2007
- Age
- 14
- Street
- : BLK 15 LOT 4 AFP EP HOUSING PHASE 1
- City
- Taguig City
- Country
- Zip Code
- Contact number
- 09998336991
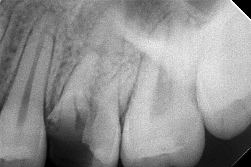
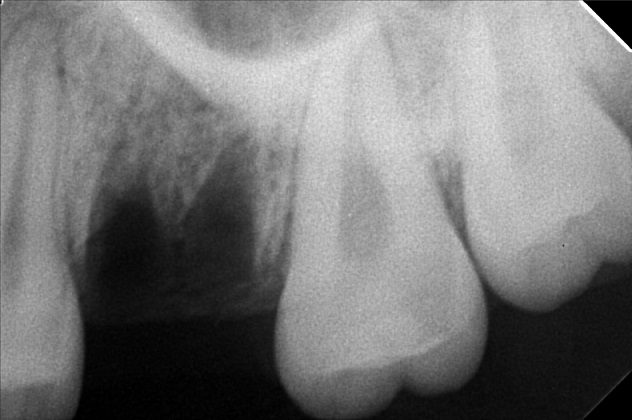
- Procedure
- 5/13/22- OP with Ozone Theraphy 5/14/22 LC 12 MDB 11 MDB/ 21 MDB/ 22 MB LASER HYPERSENSITIVITY 5/18/22-
- File
- arianne.jpg
- File 2
- arianne_02.jpg
- File 3
- arianne_03.jpg
- File 4
- arianne_04.jpg
- File 5
- File 6
- File 7
- File 8
- File 9
- File 10
- File 11
- File 12
- File 13
- File 14
- File 15
- File 16
- File 17
- File 18
- File 19
- File 20
- Retain Record
- Yes