Check our patient data records.
Patient Info
- Profile picture

- Last Name
- Carino
- First Name
- Joy
- Middle Name
- Birthdate
- Age
- Street
- City
- Country
- Zip Code
- Contact number
- 09173244630
- jlgcarino@gmail.com
- Procedure
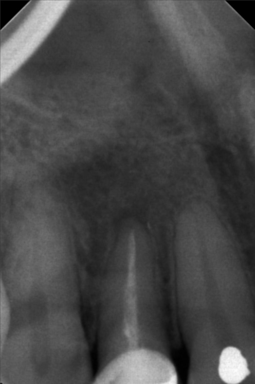
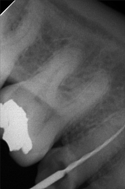
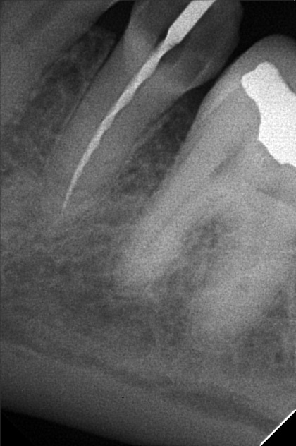
- 9/24/22 - Check up & Xray 10/01/22 - RCT 18mm , formacresol #35 10/08/22- RCT 17mm, campenol 10/15/22- 17.5MM PULP DEVITALIZER PAD done 11/05/22- Zirconia/LC 16 11/19/22- OP/Install Of Crowns
- File
- carino_joy.jpg
- File 2
- carino_joy_02.jpg
- File 3
- new.png
- File 4
- img_20220924_124802_215.jpg
- File 5
- carino.jpg
- File 6
- carino_1.jpg
- File 7
- carino_02.jpg
- File 8
- carino_03.jpg
- File 9
- carino_04.jpg
- File 10
- 221022133332216.jpg
- File 11
- File 12
- File 13
- File 14
- File 15
- File 16
- File 17
- File 18
- File 19
- File 20
- Retain Record
- Yes