Check our patient data records.
Patient Info
- Profile picture

- Last Name
- Cabas
- First Name
- Christian alan
- Middle Name
- Birthdate
- July 10, 1978
- Age
- 44
- Street
- 3426 East Service Rd.
- City
- Paranaque
- Country
- Philippines
- Zip Code
- Contact number
- 09175720825
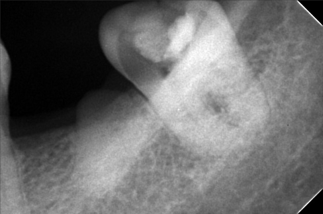
- Procedure
- 10/15/22 - RESTO # 16 (OM), #38 (OM) w/ Dycal 11/04/22-OP/OZONE/
- File
- cabas.jpg
- File 2
- File 3
- File 4
- File 5
- File 6
- File 7
- File 8
- File 9
- File 10
- File 11
- File 12
- File 13
- File 14
- File 15
- File 16
- File 17
- File 18
- File 19
- File 20
- Retain Record
- Yes