Check our patient data records.
Patient Info
- Profile picture

- Last Name
- Manual
- First Name
- Joseph
- Middle Name
- Ducay
- Birthdate
- Age
- Street
- Clark
- City
- Pampanga
- Country
- Philippines
- Zip Code
- Contact number
- 09199852703
- mannymanual@gmail.com
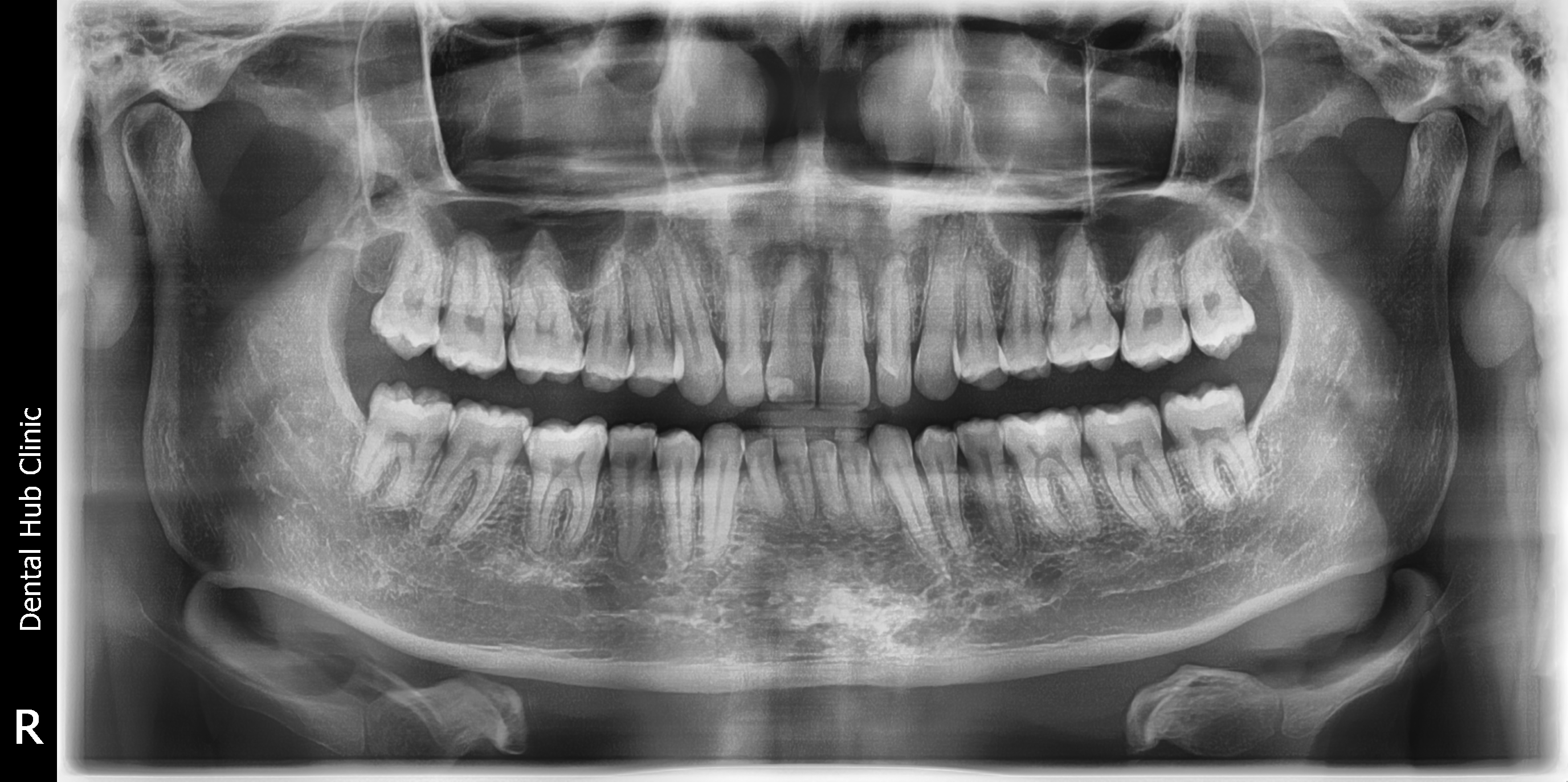
- Procedure
- 08/10/24 OP 10/05/24 #18 #28 w/ peducle flap due to #28 is near to sinus w/ chromic gut suture 10/19/24 ff.check up
- File
- joseph_manual.jpg
- File 2
- File 3
- File 4
- File 5
- File 6
- File 7
- File 8
- File 9
- File 10
- File 11
- File 12
- File 13
- File 14
- File 15
- File 16
- File 17
- File 18
- File 19
- File 20
- Retain Record
- Yes