Check our patient data records.
Patient Info
- Profile picture

- Last Name
- Paras
- First Name
- Rayselle
- Middle Name
- Sales
- Birthdate
- April 12, 2006
- Age
- 18
- Street
- 7501 Santillan St.
- City
- Makati
- Country
- Philippines
- Zip Code
- 1230
- Contact number
- 09561456681
- parasrayselle@gmail.com
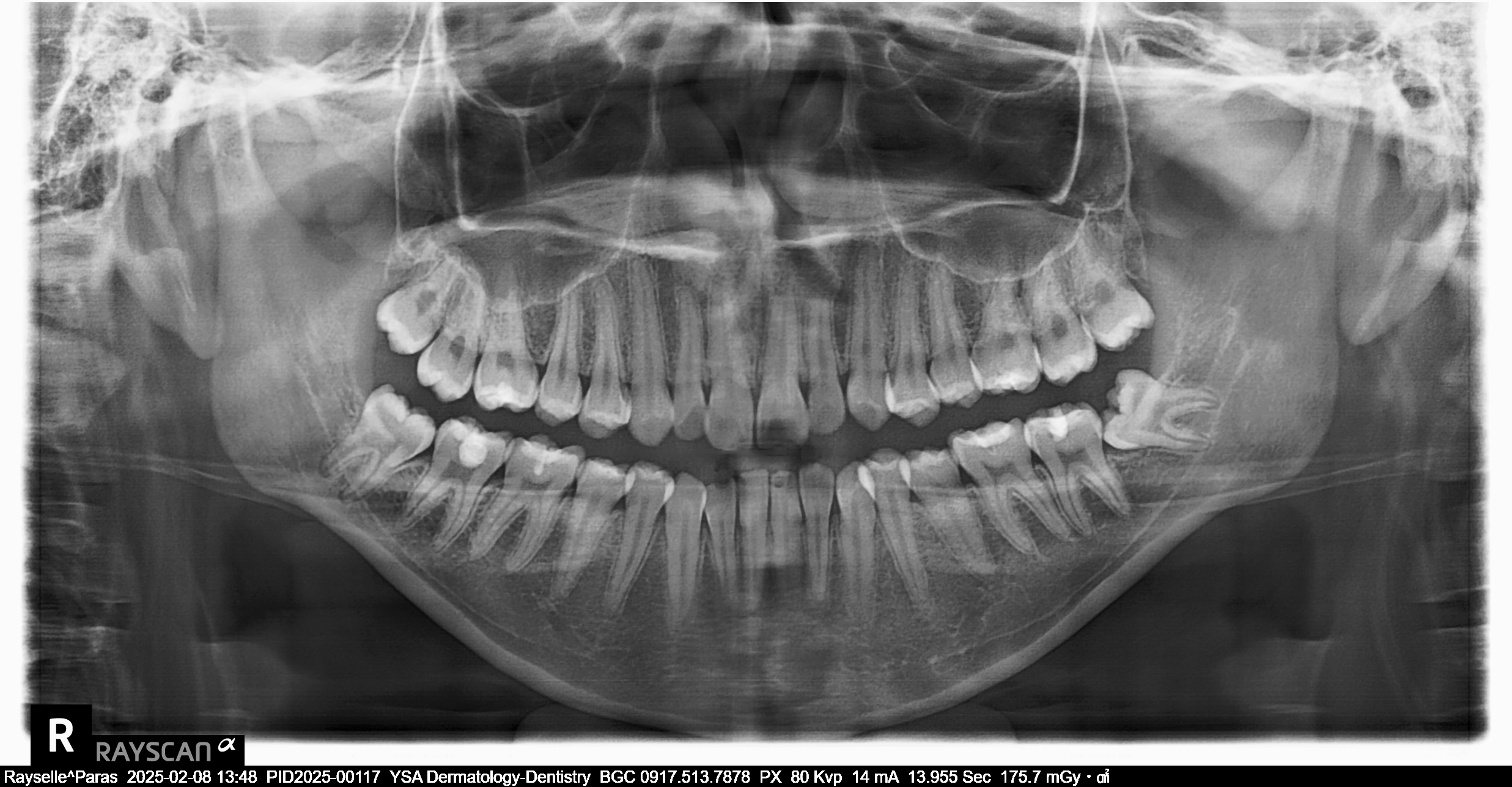
- Procedure
- 02/08/25 check up 02/15/25 installation of brace MBT slot 0.22 slot 14 NITI U/L w occlusal pads 03/29/25 RW #12,13,42 same wire 04/26/25 Adj 16 NITI U 05/31/25 adj 16 niti l nw bt #26 06/28/25 Adj same wire 07/29/25 Odontectomy #48,#38 w/ IV consious sedation 11/11/25 adjustment same wire upper 14 niti- upper lower 16 niti reattach #42 2/28/26 NOTE: 2 MONTHS DELAYED UPPER 16 NITI CLASS III ELASTIC FOX 3.5 OZ FROM 33 TO 26 AND 43 TO 16 Re-attached #34 Re-attached Buccal Tube #16
- File
- file_0001_3_1.jpg
- File 2
- 1000005067.jpg
- File 3
- File 4
- File 5
- File 6
- File 7
- File 8
- File 9
- File 10
- File 11
- File 12
- File 13
- File 14
- File 15
- File 16
- File 17
- File 18
- File 19
- File 20
- Retain Record
- Yes