Check our patient data records.
Patient Info
- Profile picture

- Last Name
- PARE
- First Name
- EMILY
- Middle Name
- Birthdate
- October 16, 1982
- Age
- 42
- Street
- LOT J BLOCK 6 FREEDOM ST.
- City
- SUCAT
- Country
- PHILIPPINES
- Zip Code
- Contact number
- 09778369693
- emilypare1016@gmail.com
- Procedure
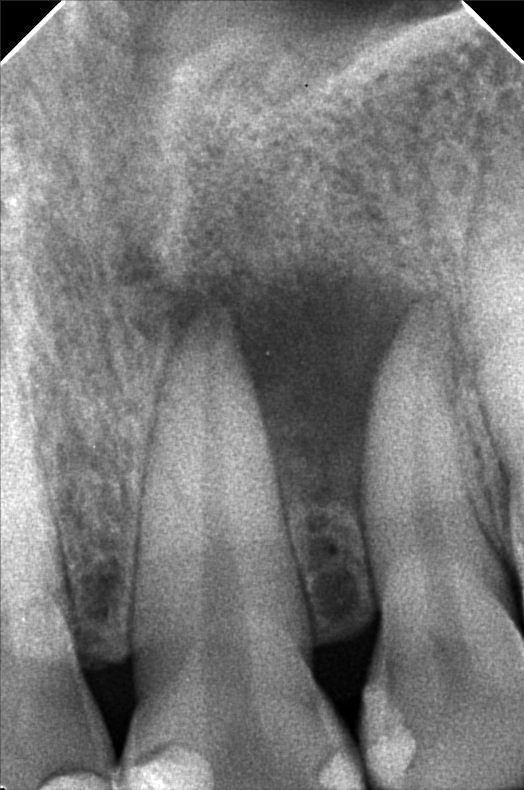
- 06/06/25 TEETH WHITENING shade B3 to B1 VENEER #14 to 25 shade A1/EW #12 for RCT OP 06/21/25 RCT #12-22mm camphenol 07/07/25 obturate #12 One fil bio C- sealer
- File 2
- File 3
- File 4
- File 5
- File 6
- File 7
- File 8
- File 9
- File 10
- File 11
- File 12
- File 13
- File 14
- File 15
- File 16
- File 17
- File 18
- File 19
- File 20
- Retain Record
- Yes