Check our patient data records.
Patient Info
- Profile picture

- Last Name
- Resolo
- First Name
- Janet
- Middle Name
- Balisoro
- Birthdate
- November 16, 1976
- Age
- 41
- Street
- Jasmin Street
- City
- Taguig
- Country
- Philippines
- Zip Code
- Contact number
- 9236257762
- Procedure
- 07-27-2018 > OP - HEAVY = 800 08-04-2018 > #16 - O & L - LC = 800 > #45 - O =FREE 4/12/22- exo 26
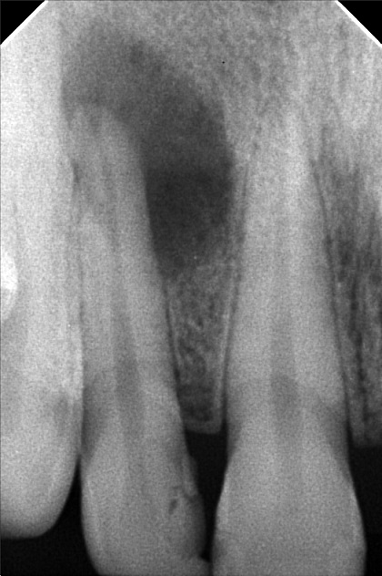
- File
- janet_resolo.jpg
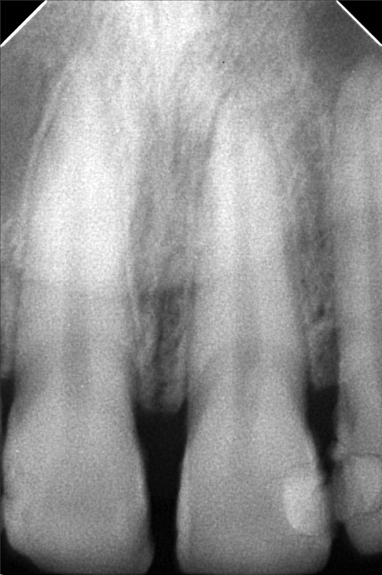
- File 2
- janet_resolo_02.jpg
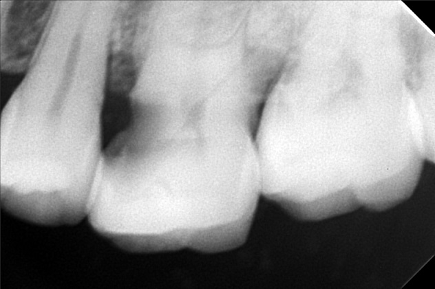
- File 3
- janet_resolo_03.jpg
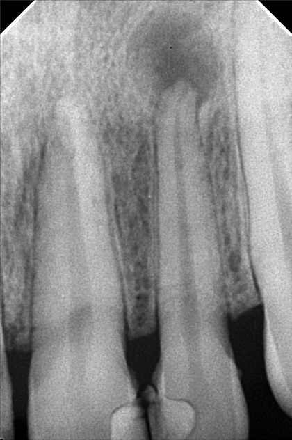
- File 4
- janet_resolo_04.jpg
- File 5
- File 6
- File 7
- File 8
- File 9
- File 10
- File 11
- File 12
- File 13
- File 14
- File 15
- File 16
- File 17
- File 18
- File 19
- File 20
- Retain Record
- Yes