Check our patient data records.
Patient Info
- Profile picture

- Last Name
- Catulin
- First Name
- Vince Rainer
- Middle Name
- TALATTAD
- Birthdate
- December 19, 2013
- Age
- 5
- Street
- 32 VP Cruz st.
- City
- Taguig City
- Country
- Zip Code
- Contact number
- Procedure
- 05-23-2019 > FOURIDE = FREE 07-15-2019 > SEALANT = 800 > OP = 500 12-10-2019 > OP = 500 > SEALANT = 800 2/12/22- 21
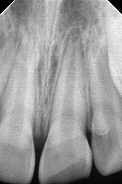
- File
- catulin.jpg
- File 2
- File 3
- File 4
- File 5
- File 6
- File 7
- File 8
- File 9
- File 10
- File 11
- File 12
- File 13
- File 14
- File 15
- File 16
- File 17
- File 18
- File 19
- File 20
- Retain Record
- Yes