Check our patient data records.
Patient Info
- Profile picture

- Last Name
- Monteagudo
- First Name
- Aidan Jozef
- Middle Name
- Ancheta
- Birthdate
- April 3, 2012
- Age
- 13
- Street
- 3044-B Lauan St.
- City
- Praañaque City
- Country
- Philippines
- Zip Code
- Contact number
- 8082617
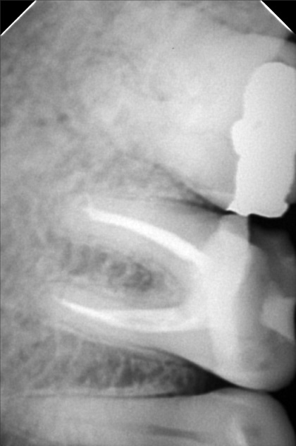
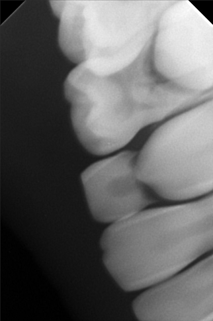
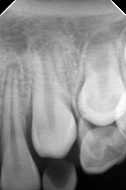
- Procedure
- 07-18-2019 > OP = 500 > EXO AT = 500 08-16-2019 > SEALANT #16,26,36,46= 3,200 08-17-2019 > UPPER A LEFT & UPPER A RIGHT =1,000 10-04-2019 > XRAY LOWER A = 800 10-05-2019 > EXO =600 04/12/22- OP sealant 16/26 refill sealant 46 ***mobility on 73/83 02/04/23-OP/Flouride/xray 11/25/23- OP, polishing 08/21/25 OP exo #85
- File
- monteagudo_aidan.jpg
- File 2
- monteagudo_aidan_02.jpg
- File 3
- monteagudo_aidan_03.jpg
- File 4
- File 5
- File 6
- File 7
- File 8
- File 9
- File 10
- File 11
- File 12
- File 13
- File 14
- File 15
- File 16
- File 17
- File 18
- File 19
- File 20
- Retain Record
- Yes