Check our patient data records.
Patient Info
- Profile picture

- Last Name
- cabas
- First Name
- ma. zorina
- Middle Name
- villados
- Birthdate
- June 28, 1963
- Age
- 56
- Street
- dungon st.
- City
- PARANAQUE
- Country
- PHILIPPINES
- Zip Code
- Contact number
- 8230643
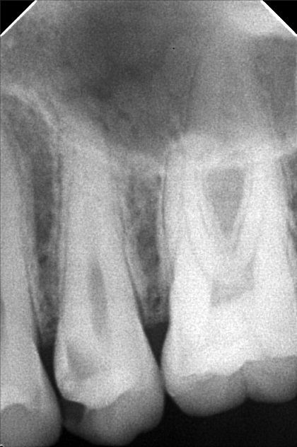
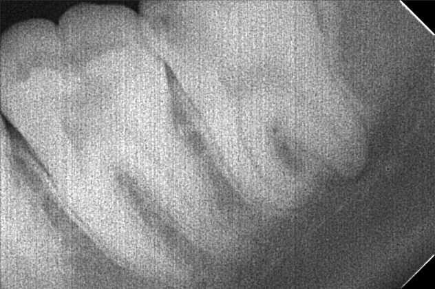
- Procedure
- 11-22-2019 > EXO #28 = 800 > SUTURE = 300 > W/GEL FORM = 300 12-09-2019 > SUTURE REMOVED > OP W/CROWNS = 800 10/19/21- exo 24 impression done 2 unit PFM -44/45 6 units upper flexite 2 units lower flexite clip on shade a3.5 cervical body A3 11/2/21- installation of crown 44/45- PFM trial U/L RPD flexite 11/12/21- installed upper flexite dentures- trail for a week lower repeat- #48 pontic to high 5/18/22- rct #23 length: 23.5mm 6/3/22- CAOH paste with laser 06/21/22 OBTURATE lc 23 possible apecoectomy
- File
- ma-_zorina_cabas.jpg
- File 2
- ma-_zorina_cabas_02.jpg
- File 3
- ma-_zorina_cabas_03.jpg
- File 4
- File 5
- File 6
- File 7
- File 8
- File 9
- File 10
- File 11
- File 12
- File 13
- File 14
- File 15
- File 16
- File 17
- File 18
- File 19
- File 20
- Retain Record
- Yes