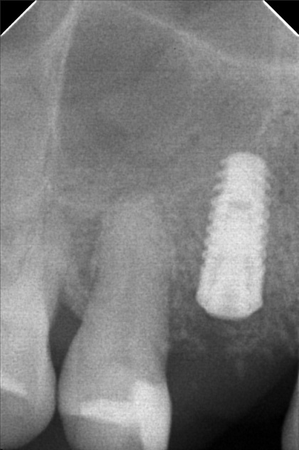
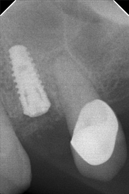
Edit Record Check our patient data records. Add patient information Patient Info Profile picture Last Name First Name Middle Name Birthdate Age Street Barangay City Country Zip Code Contact number Email Procedure 6/16/22- Check up *For IMPLANT 9/27/22- implant size 4.3x10mm #4 cancellous bone + cortical bone (Do bone) with tooth bone. #25 - cancellous bone + cortical bone (Do bone) #46 - Tooth bone GGF and PRF sticky bone = yellow tube 2, red tube 6. w/cover screw. -checkup after 7 days -suture removal after 15 days 1/6/23- Installation of zirconia implant crown - screw retained #14,24,45 11/16/22-DeepScale/pad/dp implant 12/10/22- Deep Scale 12/27/22- Perio/Scan 01/04/23-iNTS OF CROWN 02/11/23-Fiber 08/11/23- preparation tooth #12/11/25/ 46 LC mesial 25 shade B3 A3 alumina crown by: Anatomic Dental 08/15/23- installed crowns individual #12/11/25/46 ***note: notable caries MO on 47 01/27/24 implant cleaning air polish 01/18/25 Op w/ air polisher 09/20/25 OP 09/27/25 Exo #12 with collagen plug 10/11/25 SUTURE REMOVAL 10/25/25- cantilever bridge 2 units alumina bridge shade: B3 cervical/ incisal A3 scanned deliver on thursday morning 10am sharp Oct 30 10/30/25 installation of crown 2 units alumina bridge 04/15/26 OP w/airpolish LC #35- lingual File achilles_acosta.jpg File 2 cosca_1.jpg File 3 cosca_2.jpg File 4 cosca_3.jpg File 5 img_20221007_112718_812.jpg File 6 img_20221007_112726_987.jpg File 7 teeth-hub_5.pdf File 8 sir_cosca.jpg File 9 sir_cosca_02.jpg File 10 sir_cosca_03.jpg File 11 File 12 File 13 File 14 File 15 File 16 File 17 File 18 File 19 File 20 Retain Record Retain Record Yes No Save Your Changes